http://www.999brain.com 影像科 成丽娜 时间:2024-09-05 编辑:hxm 阅读:918
白塞病是一种系统性血管炎性疾病,目前病因不明,全身血管均可受累,但以小血管和静脉受累为主,可能与感染诱发自身免疫反应和中性粒细胞功能亢进有关。尸检病理提示:血管炎主要累及脑或脑干内的小血管,尤其是小静脉,血管周围呈脑梗塞、脑软化及脱髓鞘等缺血性改变。白塞病临床表现中,以口腔溃疡、外阴溃疡、眼色素膜炎三联症为典型表现,累及神经系统者称为神经白塞综合征(NBS)。临床使用ISG诊断标准,其中主要标准为反复发作的口腔溃疡,次要标准为反复外阴溃疡、眼病病变、皮肤病变和针刺试验阳性。当符合主要标准并至少符合4项次要标准中的2项,可以给出诊断。病程上可出现反复发作、缓解-加重-缓解的特征。
神经白塞综合征影像学表现:实质型可累及脑干、脊髓、大脑、视神经等。病灶以脑干常见,延伸至间脑、基底节区。病灶多发,也可单发,脊髓多见颈胸髓受累。非实质型综合征包括脑静脉血栓形成、脑膜炎强化。
实质型NBS的神经影像学改变有一定特征性,典型MRI表现可见:急性期病变主要于基底节、脑干、间脑和内囊等处,T1WI呈低信号,T2WI及FLAIR序列高信号,增强后有强化呈斑片状、结节状强化方式,DWI检查存在弥散受限。慢性期,原病灶则明显缩小,甚至完全消失,可遗留脑萎缩及软化灶。另外中脑受累时,红核相对保留对诊断NBS有一定提示作用,即出现特征性改变(红核豁免)。当基底节受累时,内囊后肢高信号有一定特征性。少数病灶表现方式为类肿瘤样、类似脓肿、类似脱髓鞘样改变,需进行注意鉴别诊断。因此主要的影像学鉴别诊断包括胶质瘤、淋巴瘤或感染性和肉芽肿性病变。非实质型NBS则在MRV上显示静脉窦或静脉血栓形成;部分可见脑膜异常强化。

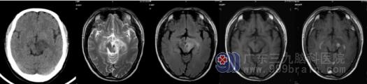
图1 患者男,41岁,全身游走痛,右侧肢体偏瘫、左侧面瘫1年,加重1月;长期有口腔溃疡病史。影像学检查中脑左侧为主病灶,CT检查呈低密度,MRI表现病灶为长T1长T2异常信号,FLAIR序列高信号,存在红核豁免征,增强明显强化。

图2 同一名患者,经激素治疗后,病灶明显缩小好转,强化消失。
Copyright 2006-2026 广东三九脑科医院版权所有 粤ICP备11100995号 服务性质:非营利性网站 粤卫网审(2013)10号
粤公网安备 44011102002143号