http://www.999brain.com 时间:2018-04-17 来源:南方日报APP2018-04-16 编辑:张三 阅读:10321
肢体麻木、视力模糊、抽搐、头晕……16年来,湛江市民刘宇(化名)饱受病痛折磨。近日,刘宇在广东三九脑科医院被诊断为脑囊虫病,医生已为其顺利切除左侧小脑半球脑囊虫占位。

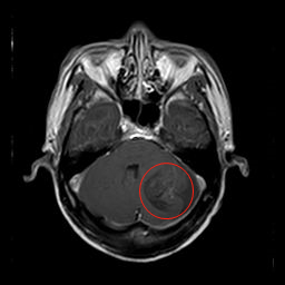
术后头部MR,左侧小脑半球内囊虫病灶已切除。
医生表示,患者致病可能与其食用了未煮熟的有寄生虫的猪肉有关,生、熟肉的刀和砧板没有分开,也可能导致感染。
怪病!麻木之后失去知觉
刘宇今年50岁,大约16年前开始,他的身体出现了奇怪的症状。一开始嘴唇麻木,紧接着右手麻木,再接着视力模糊,然后人就渐渐失去知觉。这种症状一般会持续数秒或几分钟。
16年来,刘宇每当心情紧张或受到刺激时就会出现这样的症状,平均每年会出现十来次。他回忆,2012年和2013年时,这种症状会出现得比较频繁,大约一个月会出现三四次。
“印象中只出现过一次大的抽搐,当时晕倒了,不省人事。” 刘宇说,以后只要有一点症状时,他就会服用一种止痛药,那种止痛药能让他在失去知觉之前就恢复正常。刘宇也因此将那种止痛药视为“灵丹妙药”。
也正因为有了所谓的“灵丹妙药”,这些年来,刘宇虽然去医院做过检查,提示颅内多发病变,但他却未曾治疗过。
惊吓!脑袋和下肢发现囊虫
今年3月,刘宇连续两周头痛剧烈,走路不平稳,遂去广东三九脑科医院就医。据该院神经外六科主任吴杰介绍,患者的影像检查提示颅内多发占位病变,结合病史,考虑为颅内多发脑囊虫病。

术前头部MR,左侧小脑半球内一较大的囊性占位,压迫小脑、脑干,为囊虫病变。
完善相关检查后,近日,吴杰为患者在全麻状态下行“左侧小脑囊虫占位切除术”。术后病理提示为脑囊虫病。除了头部,影像检查还提示,患者双下肢也有囊虫。

左小腿X光片,见肌肉内多发囊虫病灶。

右小腿X光片,见肌肉内多发囊虫病灶。
这是什么病?吴杰介绍,囊虫病是猪肉绦虫的幼虫寄生在人体各组织如脑、眼睛、皮下组织及肌肉等引起的疾病。如果囊肿进入大脑,可导致颅内压增高、癫痫或精神障碍等。该患者前期的癫痫发作及后期出现的头痛症状,都是脑囊虫病引起颅内占位性病变所致。
“囊虫病的感染主要与不卫生的饮食习惯有关,比如生食猪肉或进食了没有煮熟的猪肉,进食被污染虫卵的蔬菜、生水、食物等”。吴杰表示,切生、熟肉的刀和砧板没有分开,也可能导致感染。
【记者】朱晓枫 【通讯员】胡誉怀

Copyright 2006-2026 广东三九脑科医院版权所有 粤ICP备11100995号 服务性质:非营利性网站 粤卫网审(2013)10号
粤公网安备 44011102002143号