http://www.999brain.com 时间:2017-08-25 来源:小儿神经外科 编辑:xzd 阅读:42857
5岁的薛仔,于2年前因头痛呕吐检查出“室管膜瘤”,当时在当地医院做了手术治疗。可近几个月,薛仔一直喊头痛,并有呕吐症状,食不知味,夜不能寐,严重影响他的日常生活。考虑薛仔的病史,家人决定带他到医院复查,确诊是室管膜瘤复发了。在徘徊了多家医院后,他们最终选择了广东三九脑科医院诊治。
给薛仔看诊的是小儿神经外科的杨宝应主任,在询问病人病史时,薛仔家人表示,因为薛仔曾做过一次手术,再次手术的难度大、风险高,很多医院不敢轻易尝试。之所以选择我院,是认可医院的专业水平,以及可提供的手术、放疗、化疗、康复等多种治疗一体化的服务理念和架构。
杨宝应主任为家属解释,影响室管膜瘤预后的因素包括肿瘤的部位、组织学类型、复发的速度和年龄。据国内资料统计,患者术后复发平均在20个月内。另一个重要预后因素是手术切除程度,50%~60%的肿瘤全切除患儿5年内未见肿瘤复发,而次全切除者仅20%。室管膜瘤的首选治疗方案是手术全切肿瘤,对于未能行肿瘤全切除的患者,术后应行放射治疗。对于肿瘤生长部位深在、难以做到肿瘤全切者,次全切除亦可获得良好的治疗效果。另外,术后放疗是必需的,放疗宜早。
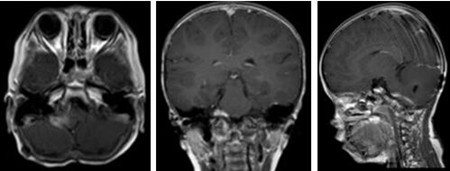
入院后完善术前检查,排除手术禁忌症后,杨宝应主任及其团队为薛仔实施“右侧桥小脑角区及上段脊髓右旁、四脑室内室管膜瘤切除术”,在显微镜下次全切除肿瘤,术后薛仔的症状明显好转,并辅以放化疗。
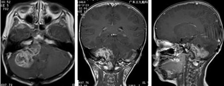
病理化验诊断:四脑室内室管膜瘤。

▲术前

▲术后

▲放化疗后

Copyright 2006-2026 广东三九脑科医院版权所有 粤ICP备11100995号 服务性质:非营利性网站 粤卫网审(2013)10号
粤公网安备 44011102002143号