http://www.999brain.com 时间:2017-12-15 编辑:xzd 阅读:41428
患上恶性肿瘤,这无疑是一道晴天霹雳啊!然而不幸的事情就发生在一名14岁的初中生小磊身上。
三年前,小磊时常觉得左侧肢体乏力,家人以为孩子长时间伏案写作业引起,建议其多起身走动。2014年8月的一天下午,小磊突然出现口角歪斜的症状。家人考虑病情的严重性,急忙带他到广州某大医院就诊,查了头颅MR,显示:双侧基底节区异常信号,考虑发育异常或肿瘤性病变。为了明确诊断,家长带着小磊去了北京多家医院,诊断一致考虑:生殖细胞瘤待排。
辗转多院后,经由熟人的推荐,小磊的家长找到广东三九脑科医院的蔡林波主任。入住肿瘤综合治疗中心,给小磊做了腰穿查脑脊液,HCG:39.48IU/L(0-5)高于正常,查血HCG:6.21mIU/mL(0-5)稍高于正常,查头颅磁共振示:1.右侧基底节-放射冠区、右侧视交叉及右侧大脑脚、左侧基底节区(以右侧基底节区为主)多发病变。

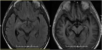
2014年9月 放疗前
结合小磊往期的MR片,蔡林波主任给出综合分析,考虑小磊患生殖细胞瘤可能性大,而病变位置深,活检取病理难度大,建议行诊断性放疗。靶区为肿瘤强化部及T2压水象异常信号区,单次量180cgy,900cgy/5f。
经过治疗,小磊口角右歪的症状减轻,左侧肢体活动较前灵活,左侧肢体乏力好转。复查MR提示肿瘤较前缩小,考虑放疗有效,诊断上支持生殖细胞瘤,继续行全脑全中枢放疗。
放疗结束后,小磊复查头颅MR,显示:原颅内多发病灶大部分明显缩小,部分消失。放疗后,继续予以六程辅助化疗,过程顺利。
现放疗后3年,小磊已正常学习生活,现就读高三,准备明年参加高考。

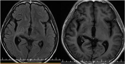
2014年10月 放疗结束时

2017年10月 放疗后3年

Copyright 2006-2026 广东三九脑科医院版权所有 粤ICP备11100995号 服务性质:非营利性网站 粤卫网审(2013)10号
粤公网安备 44011102002143号