- 活动公告更多>>
-
- 警惕医托!一封患者和家属必读的信 05-20
- 典型案例更多>>
-
- 头痛呕吐也不能掉以轻心 02-17
- 面部出现闪电样疼痛 当心“天下第一痛”来袭 12-06
- 内镜辅助下经鼻切除促肾上腺皮质激素细胞腺瘤 11-28
- 双耳听力下降,小心颅内长肿瘤 10-19
- 成人出现这些症状 要警惕颅内肿瘤作祟 09-20
- 反复头晕四年没当回事,因复视就诊,查出脑膜瘤 02-09
作者: 时间:2017-09-13 编辑:lsw 点击次数:36638
当被闭经、溢乳、不孕不育、阳痿、进行性视力下降、性生活能力下降等问题困扰时,你可能想到的是到医院妇科、男科、眼科看病,但是实际上这可能是垂体瘤惹的祸。
吕女士今年39岁,3年前无明显诱因偶尔出现头晕头痛,3个月开始出现看不清楚东西的状况!要知道吕女士一直保持着1.0以上的标准视力,难道39岁也会开始近视?她到眼科检查一切正常。医生建议照脑部MRI,发现脑子里长了肿瘤……
就诊广东三九脑科医院神经外一科,通过详细检查,吕女士得了“脑垂体瘤”,原来是肿瘤压迫视神经导致的视力障碍。行“鞍区占位性病变切除术”,术程顺利,术中肿瘤全切,术后视力较前好转。
据主刀医生张良主任介绍,垂体瘤是一种常见的良性颅内肿瘤,70%的病例发生在30-50岁,在发生垂体瘤后小腺瘤会引起患者出现内分泌功能紊乱现象,大腺瘤除此之外还会对患者脑神经功能和视神经功能造成损伤。目前,手术是最主要的垂体瘤治疗方式,其目的主要为对内分泌功能紊乱症状进行改善,促进垂体功能恢复正常,避免对周围神经组织造成压迫。
吕女士因头痛伴视力进行性下降入院,检查发现肿瘤大小约为1.7cm×2.0cm×3.0cm,视交叉受压上抬,手术经右侧翼点入路,予视神经充分减压,手术顺利,时间短,出血量少,术后视力较前好转。

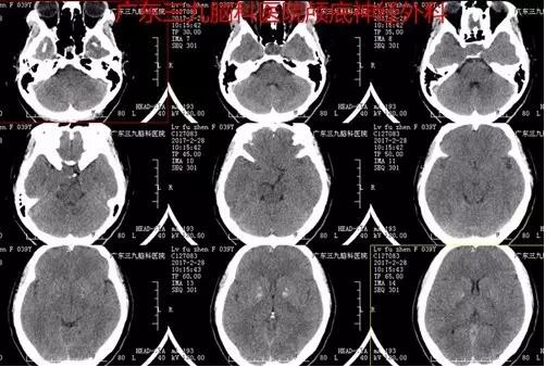
图1:术前CT提示额部类圆形等密度占位性病变

图2:术前磁共振提示鞍区及鞍上一形态不规则异常信号,增强后明显强化,范围约42.5pxx50pxx75px,颈内动脉海绵窦段受包绕

图3:术前CTA提示肿瘤血供丰富,病变紧贴双侧颈内动脉虹吸段

图4:术后磁共振提示肿瘤全切

广东三九脑科医院 地址:广州市沙太南路578号 邮政编码:510510 电话:86(020) 62323939
咨询手机:13922111505 邮箱:999brain120@163.com 传真:86(020) 6629 9224
Copyright 2006-2025 www.39brain.cn 广东三九脑科医院版权所有 粤ICP备06087008号