- 活动公告更多>>
-
- 警惕医托!一封患者和家属必读的信 05-20
- 典型案例更多>>
-
- 头痛呕吐也不能掉以轻心 02-17
- 面部出现闪电样疼痛 当心“天下第一痛”来袭 12-06
- 内镜辅助下经鼻切除促肾上腺皮质激素细胞腺瘤 11-28
- 双耳听力下降,小心颅内长肿瘤 10-19
- 成人出现这些症状 要警惕颅内肿瘤作祟 09-20
- 反复头晕四年没当回事,因复视就诊,查出脑膜瘤 02-09
作者: 时间:2017-10-16 出处:神经外一科 编辑:lsw 点击次数:36404
突发剧烈头痛绝对不可轻视,一定要及时就医。这不,73岁的张大爷在家突发出现头晕头痛,2天后才到医院检查,发现脑袋里竟长了个“微型炸弹”动脉瘤。
经过头部CT检查发现,张大爷存在蛛网膜下腔出血,血管造影提示动脉瘤。由神经外一科张良主任主刀,行“颅内动脉瘤夹闭术”,术程顺利,术后恢复良好。诊断:右侧大脑中动脉瘤。

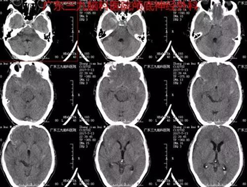
图1:术前CT提示蛛网膜下腔出血,脑室系统少量积血

图2:术前CTA提示右侧大脑中动脉M1段分叉处示一囊状突起影,朝向前下方,范围约9.3mm×8.7mm

图3:术前DSA造影提示右侧大脑中动脉分叉处动脉瘤,大小约6mm*7mm,宽颈朝下生长,瘤体见一子瘤,大小约2mm*3mm

图4:术后DSA提示夹闭术后改变,动脉瘤未见残留,载瘤动脉显影通畅
据张良主任介绍,大脑中动脉瘤是颅内常见动脉瘤,约占全部颅内动脉瘤的20%,多呈不规则的宽颈大动脉瘤,其载瘤动脉供血区域缺乏侧支循环,一旦闭塞将会出现严重的脑功能障碍,甚至因大面积梗塞出现生命危险,宽颈大脑中动脉瘤以及伴有颅内血肿的情况不适合血管内介入治疗,目前显微外科手术是大脑中动脉瘤的主要治疗手段。
本例术中择经翼点入路,从侧裂前外下方接近颅底处切开蛛网膜,持续沿侧裂底部解剖,耐心引流脑脊液,待颅内压下降,颅底暴露增大后后,进而解剖颈内动脉池、视交叉池。显露颈内动脉分叉部和大脑中动脉M1段,游离大脑中动脉M1段及分叉部,充分显露,夹闭前将M1段血流暂时进行阻断,之后针对动脉瘤实施夹闭。手术顺利,术中出血少,术后复查DSA提示夹闭术后改变,动脉瘤未见残留,载瘤动脉显影通畅。

广东三九脑科医院 地址:广州市沙太南路578号 邮政编码:510510 电话:86(020) 62323939
咨询手机:13922111505 邮箱:999brain120@163.com 传真:86(020) 6629 9224
Copyright 2006-2025 www.39brain.cn 广东三九脑科医院版权所有 粤ICP备06087008号