- 活动公告更多>>
-
- 警惕医托!一封患者和家属必读的信 05-20
- 典型案例更多>>
-
- 头痛呕吐也不能掉以轻心 02-17
- 面部出现闪电样疼痛 当心“天下第一痛”来袭 12-06
- 内镜辅助下经鼻切除促肾上腺皮质激素细胞腺瘤 11-28
- 双耳听力下降,小心颅内长肿瘤 10-19
- 成人出现这些症状 要警惕颅内肿瘤作祟 09-20
- 反复头晕四年没当回事,因复视就诊,查出脑膜瘤 02-09
作者: 时间:2018-04-08 出处:神经外一科 编辑:lsw 点击次数:35480
今年1月初,43岁的黎女士因视力下降、头痛一周前来就诊,经神经外一科张良主任检查,原来是颅内鞍区肿瘤惹的祸。
接诊后,张良主任进行了详细的检查,原来黎女士出现头痛症状已经持续一周,同时5.2的视力下降至5.0,进行了颅脑磁共振扫描提示鞍区占位性病变。根据病情制定手术切除鞍区肿瘤的治疗方案,入院第6天实行鞍区占位性病变切除术,术程顺利,肿瘤全切除。术后病理报告示:乳头状颅咽管瘤。
张良主任介绍,鞍区是颅内的一个特殊区域,组织结构复杂,毗邻神经、血管较多,是颅内肿瘤的好发部位,以垂体瘤、颅咽管瘤、脑膜瘤最常见。头痛、视力下降和内分泌异常是鞍区肿瘤常见的临床症状,早期因为没有明显的不适症状,所以早期发现比较困难,只有肿瘤生长到了一定大小压迫邻近组织出现相应的症状时,才会引起病人的重视。张主任提醒,如出现视力下降、视野缺损、头痛等问题,除了眼科排除眼部问题外,还需及早到神经外科就医。

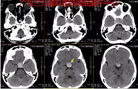
▲图1:2018-01-05 术前CT示鞍区内示一团块状稍高密度影,范围约3.2cm×2.7cm×2.1cm

▲图2:2018-01-10术前CTA示双侧颈内动脉虹吸部受压、外移,邻近willis环稍扩大

▲图3:2018-01-07术前MR示鞍内及鞍上一囊实性占位性病变,囊性部分呈短T1长T2为主异常信号影,FLAIR序列呈高信号,间杂小斑片状短T1高信号影;实性部分呈长T1偏等T2异常信号影,FLAIR序列呈偏等信号,增强扫描实性部分及囊壁呈明显强化。病变边界清,大小约为20mm×28mm×17mm,突破鞍隔向上生长,视交叉受压

▲图4:术前术后磁共振对比肿瘤切除

▲图5:术后病理示(鞍区)

广东三九脑科医院 地址:广州市沙太南路578号 邮政编码:510510 电话:86(020) 62323939
咨询手机:13922111505 邮箱:999brain120@163.com 传真:86(020) 6629 9224
Copyright 2006-2025 www.39brain.cn 广东三九脑科医院版权所有 粤ICP备06087008号