- 活动公告更多>>
-
- 警惕医托!一封患者和家属必读的信 05-20
- 典型案例更多>>
-
- 头痛呕吐也不能掉以轻心 02-17
- 面部出现闪电样疼痛 当心“天下第一痛”来袭 12-06
- 内镜辅助下经鼻切除促肾上腺皮质激素细胞腺瘤 11-28
- 双耳听力下降,小心颅内长肿瘤 10-19
- 成人出现这些症状 要警惕颅内肿瘤作祟 09-20
- 反复头晕四年没当回事,因复视就诊,查出脑膜瘤 02-09
作者: 时间:2018-04-13 出处:神经外一科 编辑:lsw 点击次数:34295
23岁应该是女性最美丽的时期,可是小邓(化名)却患了罕见的神经纤维瘤病,每天饱受疾病的折磨,听力下降整整一年了,近一个月视力也开始下降。
近日,广东三九脑科医院神经外科门诊接诊了一名年轻女性小邓。今年23岁的她,右眼肿胀且长出一个类似犄角的包块。据小邓叙述,1年前无明显诱因出现左侧听力下降,于当地医院耳鼻喉科诊疗后效果欠佳,1月前逐渐出现视力下降后来到广东三九脑科医院就诊。神经外一科张良主任为小邓做了详细的问诊及体格检查,怀疑很可能是患有临床比较罕见的遗传病神经纤维瘤 ,进行核磁共振检查结果提示:双侧听神经瘤并多发脑膜瘤,考虑神经纤维瘤病可能。完善术前准备后,全麻下行“左侧桥小脑角区占位性病变切除术”,术程顺利,术后病理:神经鞘瘤。
“神经纤维瘤病是常染色体显性遗传病,II型多见双侧听神经瘤,首发症状以双侧进行性听力下降最为常见,亦有部分病人表现为单侧严重的听力障碍或波动性听力丧失或突发性听力丧失。最常见的临床表现为耳鸣、听力下降,头晕,眩晕这少见,其次为手颤、走路摇摆、语调异常等共济失调表现,口角歪斜,面部麻木感等,这些症状多为单侧。少数患者诉持续性头痛,伴恶心、呕吐和视物不清等颅内压增高表现”。据张良主任介绍,小邓伴有其他一些疾病,如脑膜瘤。由于该病影响美容因此患者在忍受疾病折磨的同时,心理方面也遭受一定的痛苦,因此家庭和社会应给予他们更多的关心和爱,鼓励与支持,让他们保持一个良好的心态,帮助他们一起同病魔作战。

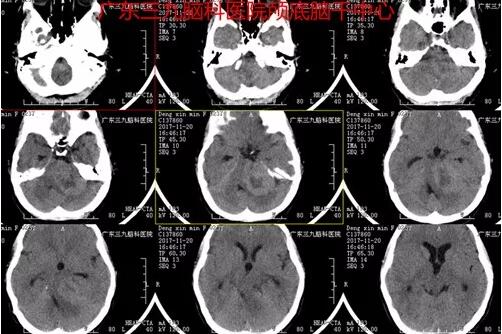
图1:2017-11-20 头颅CT示左侧桥小脑角区示一团片状稍高、低混杂密度影,邻近左侧听神经孔增宽

图2:2017-11-50头颅CTA示病灶内及边缘示少许细小血管影,基底动脉轻度受压右偏

图3:2017-11-20 头颅MR示左侧桥小脑角区一团块状稍长T1等T2为主异常信号影,FLAIR呈偏等信号,增强扫描不均匀明显强化,病灶大小约117.5px×87.5px×90px,边缘示增宽的蛛网膜下腔,左侧内听道明显扩大,左侧听神经颅内段明显增粗,邻近脑干、左侧桥臂、左侧小脑半球受压。右侧听神经颅内段稍增粗,增强扫描明显强化

图4:术前术后MR对比

图5:术后病理

广东三九脑科医院 地址:广州市沙太南路578号 邮政编码:510510 电话:86(020) 62323939
咨询手机:13922111505 邮箱:999brain120@163.com 传真:86(020) 6629 9224
Copyright 2006-2025 www.39brain.cn 广东三九脑科医院版权所有 粤ICP备06087008号