- 活动公告更多>>
-
- 警惕医托!一封患者和家属必读的信 05-20
- 典型案例更多>>
-
- 头痛呕吐也不能掉以轻心 02-17
- 面部出现闪电样疼痛 当心“天下第一痛”来袭 12-06
- 内镜辅助下经鼻切除促肾上腺皮质激素细胞腺瘤 11-28
- 双耳听力下降,小心颅内长肿瘤 10-19
- 成人出现这些症状 要警惕颅内肿瘤作祟 09-20
- 反复头晕四年没当回事,因复视就诊,查出脑膜瘤 02-09
作者: 时间:2018-11-27 出处:神经外一科 编辑:lsw 点击次数:35714
近日,广东三九脑科医院神经外一科门诊来了一位39岁的男士,因7天前出现发热后头部胀痛,检查发现颅内占位前来就诊。经过张良主任检查,最终确诊患者患了少见的少突胶质细胞瘤。
入院后完善术前相关检查,行“右侧额颞岛叶–基底节肿瘤切除术” ,术中肿瘤全切,术后恢复良好。

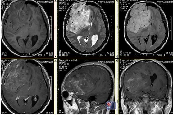
图1:术前CT显示大片状、点状钙化高密度影

图2:术前CTA检查示:右侧额颞叶巨大高低混杂密度影

图3:术前磁共振显示肿瘤位置及大小约10.8×8.6×8.7cm

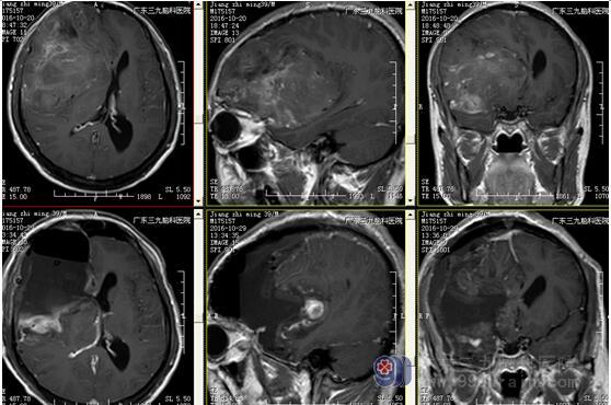
图4:术后4小时CT显示术后改变,肿瘤全切,未见钙化,留下巨大手术腔

图5:术前、术后磁共振对比显示肿瘤全切

图6:术后病理显示胶质瘤WHOⅡ级
镜下所见及病理诊断:
送检(右额颞岛叶)肿瘤,镜下见细胞密度明显增加,核有轻度异型性,细胞核圆,核周空亮,核分裂不易见,可见微囊结构,免疫组化示:GFAP(+),IDH-1(+),0lig-2(+),Syn(+),EMA(-),Neu-N(-),Ki-67 50%(+)。病变符合WHO II级胶质瘤,少突胶质细胞瘤与弥漫型星形细胞瘤相鉴别,待1P/19Q分子检测明确诊断。
【专家点评】
广东三九脑科医院神经外一科主任张良指出,少突胶质细胞瘤起源于少突胶质细胞,属于神经上皮性肿瘤,约占原发性脑肿瘤的4.2%;常见于成人,发病年龄高峰为40—60岁,也可发生在儿童和青少年;病变好发于额叶、小脑,脑干和脊髓少见。本例位于额叶,为常见好发部位。
少突胶质细胞瘤无包膜,与周围脑组织界限清晰,50%-80%病例出现钙化,可散在或融合成较大的钙化小体,弯曲条带状钙化为其特征性表现,但广泛钙化罕见。本例肿瘤巨大(范围约为10.8×8.6×8.7cm),CT示斑片状低密度影及条带状典型高密度钙化影,病灶内及边缘示多发迂曲血管影沿钙化斑块走行,强化后呈轻度不均匀异常强化影,均符合少突胶质瘤典型影像学改变。
少突胶质细胞瘤以手术治疗为主,术后平均生存期为3-5年,辅以放疗和(或)化疗,以防肿瘤复发或者残存肿瘤增大。本例患者为WHO II级,低度恶性,术后肿瘤全切,予以继续行放疗,目前进一步随访中。

广东三九脑科医院 地址:广州市沙太南路578号 邮政编码:510510 电话:86(020) 62323939
咨询手机:13922111505 邮箱:999brain120@163.com 传真:86(020) 6629 9224
Copyright 2006-2025 www.39brain.cn 广东三九脑科医院版权所有 粤ICP备06087008号