- 活动公告更多>>
-
- 警惕医托!一封患者和家属必读的信 05-20
- 典型案例更多>>
-
- 头痛呕吐也不能掉以轻心 02-17
- 面部出现闪电样疼痛 当心“天下第一痛”来袭 12-06
- 内镜辅助下经鼻切除促肾上腺皮质激素细胞腺瘤 11-28
- 双耳听力下降,小心颅内长肿瘤 10-19
- 成人出现这些症状 要警惕颅内肿瘤作祟 09-20
- 反复头晕四年没当回事,因复视就诊,查出脑膜瘤 02-09
作者: 时间:2019-01-10 出处:神经外一科 编辑:lsw 点击次数:37465
动静脉畸形是一团发育异常的病理脑血管,不经过毛细血管床,直接向静脉引流,形成动静脉之间的短路,多由一支或者几支动脉供血,引流静脉也可一支或者几支,会导致血流动力学紊乱。颅内动静脉畸形是指发生于颅内的此种疾病,根据发生部位的不同,分为脑动静脉畸形、硬脑膜动静脉畸形、脑膜脑动静脉畸形。
【典型案例】
张某,男,25岁,因“2月前四肢抽搐1次”于2018年11月12日入院。患者2月前无明显诱因突发出现四肢抽搐,伴意识不清、口吐白沫,持续时间约5分钟,而后自行好转,感四肢麻木。外院查头颅MR提示右侧额叶动静脉畸形。现家属为求进一步诊疗前来我院神经外一科。于2018年11月16日全麻下为患者行“右侧额叶动静脉畸形切除术”,术程顺利,病理报告示:(右侧额叶)动静脉畸形。

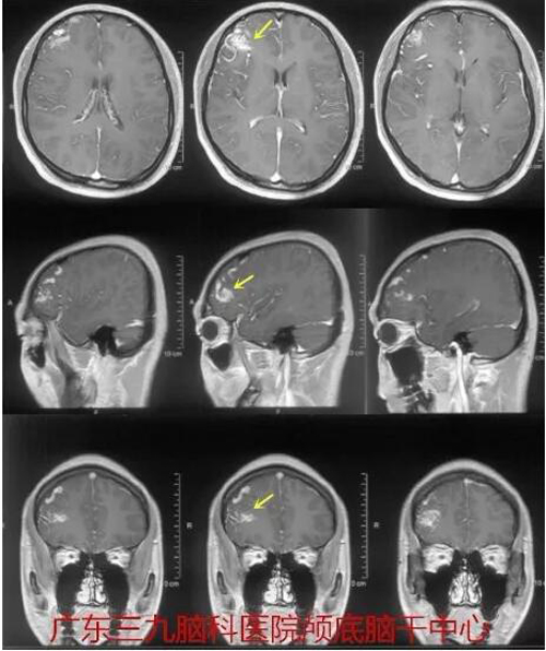
图1:外院术前磁共振示右侧额叶一迂曲血管团。

图2:术前CTA检查示:1.右侧额叶动静脉畸形,主要由右侧大脑中动脉上干异常分支供血,相应引流静脉汇入上矢状窦。

图3:术后CT及磁共振示右侧额叶动静脉畸形切除术改变,结合MRA提示原异常血管团已切除。

图4:术后病理:(右侧额叶)动静脉畸形。
【动静脉畸形的治疗】
1.手术切除是治疗颅内动静脉畸形最彻底的方法,可以消除病变出血的风险,改善脑血供,还能控制癫痫发作。
2.放射治疗对于病变小于3cm的,位于重要功能区,或者位置深在,不能手术的患者,可以选择立体性放射治疗,常选伽马刀治疗。但是通常1到3年后才见效,这期间有出血的可能。
3.介入栓塞治疗可以采用血管内介入的方法,栓塞供血动脉。但是单独介入栓塞治疗动静脉畸形的完全闭塞率比较低,通常作为手术切除及放射外科治疗前的辅助手段。
4.综合治疗可以采用以上两种,或者两种以上的手段相结合,综合各个手段的优点,最大可能地治愈本病。

广东三九脑科医院 地址:广州市沙太南路578号 邮政编码:510510 电话:86(020) 62323939
咨询手机:13922111505 邮箱:999brain120@163.com 传真:86(020) 6629 9224
Copyright 2006-2025 www.39brain.cn 广东三九脑科医院版权所有 粤ICP备06087008号