- 活动公告更多>>
-
- 警惕医托!一封患者和家属必读的信 05-20
- 典型案例更多>>
-
- 头痛呕吐也不能掉以轻心 02-17
- 面部出现闪电样疼痛 当心“天下第一痛”来袭 12-06
- 内镜辅助下经鼻切除促肾上腺皮质激素细胞腺瘤 11-28
- 双耳听力下降,小心颅内长肿瘤 10-19
- 成人出现这些症状 要警惕颅内肿瘤作祟 09-20
- 反复头晕四年没当回事,因复视就诊,查出脑膜瘤 02-09
作者: 时间:2019-05-20 出处:神经外一科 编辑:lsw 点击次数:26201
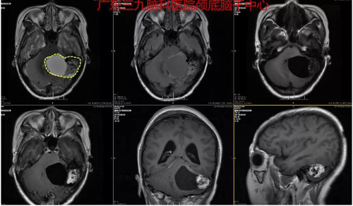
去年9月21日,神经外一科主任医师张良接诊一位邓姓女士,邓女士出现间断头晕2个月,左眼失明10天,当地医院检查提示大脑里有肿瘤。
入院后完善头颅MRI和CTA等相关检查,考虑血管母细胞瘤可能,左侧小脑半球占位性病变,异常染色区域大小约4.0cm×3.0cm×2.0cm;CTA检查示左侧小脑半球囊性占位性病变内未见异常血管影,病变偏外侧示一团状粗细不均异常血管影,引流静脉汇入左侧乙状窦,左侧大脑后动脉受推挤。由张良主刀在显微镜下为吴女士做了“左侧小脑占位病变切除术”,术程顺利,病理报告示:(左侧小脑)血管母细胞瘤WHOⅠ级。
张良医生提醒,血管母细胞瘤是指由基质细胞和丰富毛细血管组成的高度血管化的良性肿瘤,有固体状和囊泡状两种基本形态。世界卫生组织(WHO)分类为起源未明的Ⅰ级肿瘤,可分为散发性和家族遗传性两种,可发生于小脑、脑干、脊髓等部位,故临床症状各异,早期可无症状或头痛等轻微症状。患者一旦出现不适应尽早就医,早发现早治疗,谨防肿瘤带来的严重后果。

图1:头颅CTA检查示左侧小脑半球囊性占位性病变内未见异常血管影,病变偏外侧示一团状粗细不均异常血管影,引流静脉汇入左侧乙状窦,左侧大脑后动脉受推挤

图2:术前MR示左侧小脑半球占位性病变,考虑血管母细胞瘤可能,异常染色区域大小约4.0cm×3.0cm×2.0cm

图3:术后CT及 MR示左侧小脑占位性病变切除术术后改变

图4:病理报告示: (左侧小脑)血管母细胞瘤WHOⅠ级

广东三九脑科医院 地址:广州市沙太南路578号 邮政编码:510510 电话:86(020) 62323939
咨询手机:13922111505 邮箱:999brain120@163.com 传真:86(020) 6629 9224
Copyright 2006-2025 www.39brain.cn 广东三九脑科医院版权所有 粤ICP备06087008号