- 活动公告更多>>
-
- 警惕医托!一封患者和家属必读的信 05-20
- 典型案例更多>>
-
- 头痛呕吐也不能掉以轻心 02-17
- 面部出现闪电样疼痛 当心“天下第一痛”来袭 12-06
- 内镜辅助下经鼻切除促肾上腺皮质激素细胞腺瘤 11-28
- 双耳听力下降,小心颅内长肿瘤 10-19
- 成人出现这些症状 要警惕颅内肿瘤作祟 09-20
- 反复头晕四年没当回事,因复视就诊,查出脑膜瘤 02-09
作者: 时间:2019-07-29 出处:神经外一科 编辑:lsw 点击次数:24355
63岁的翁阿姨反复头晕头痛十年,因为疼痛程度比较轻,可自行缓解,所以没有太在意。可近两年来,发作频繁,持续时间延长,而且比以往加重,有时候还会出现右四肢指尖及脚趾麻木感,甚至半年前开始出现视物模糊。到外院检查头颅CT,这一查不得了,原来病因不是脑部有一个肿瘤!
“脑膜瘤是起源于脑膜及脑膜间隙的衍生物,有良性、恶性之分,良性脑膜瘤生长慢,病程长,因肿瘤呈膨胀性生长,病人往往以头痛、神经功能障碍和癫痫为首发症状”广东三九脑科医院神经外一科张良主任介绍说,“翁女士病程长达10年,这次是因为肿瘤压迫脑组织出现听力模糊、肢体麻木才引起重视的。”
入院后完善相关检查,全麻下为患者行“右枕部窦汇区脑膜瘤切除术”,术程顺利,病理报告示: (窦汇区)纤维型脑膜瘤WHOⅠ级。

图1:术前CTA示右侧枕部颅骨内板下占位性病变内示少许细小血管影,轻度脑动脉硬化

图2:术前MR示右侧枕部小脑幕下示一类圆形占位性病变,呈稍长T1长T2异常信号影,FLAIR序列呈稍高信号影,增强后病变明显均匀强化,范围约为2.5cm×2.0cm×1.7cm。双侧大脑半球皮层下白质内、双侧侧脑室周围及双侧半卵圆中心示多发点状等、稍长T1长T2异常信号影,FLAIR序列呈高信号

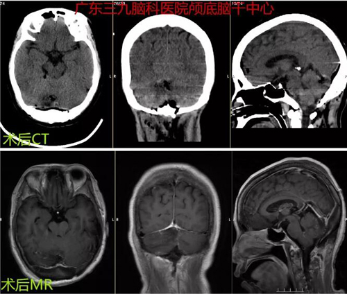
图3:术后CT及MR示右侧枕部占位性病变切除术后改变,原病变已切除

图4:术后病理示(窦汇区)纤维型脑膜瘤WHOⅠ级

广东三九脑科医院 地址:广州市沙太南路578号 邮政编码:510510 电话:86(020) 62323939
咨询手机:13922111505 邮箱:999brain120@163.com 传真:86(020) 6629 9224
Copyright 2006-2025 www.39brain.cn 广东三九脑科医院版权所有 粤ICP备06087008号