- 活动公告更多>>
-
- 警惕医托!一封患者和家属必读的信 05-20
- 典型案例更多>>
-
- 头痛呕吐也不能掉以轻心 02-17
- 面部出现闪电样疼痛 当心“天下第一痛”来袭 12-06
- 内镜辅助下经鼻切除促肾上腺皮质激素细胞腺瘤 11-28
- 双耳听力下降,小心颅内长肿瘤 10-19
- 成人出现这些症状 要警惕颅内肿瘤作祟 09-20
- 反复头晕四年没当回事,因复视就诊,查出脑膜瘤 02-09
作者: 时间:2019-12-10 出处:神经外一科 编辑:lsw 点击次数:23654
54岁的曾某在3个月前出现无明显诱因的间断头痛、视力下降,前往当地医院检查。结果医生告知,曾某颅内出现占位性病变,也就是脑肿瘤。
当天曾某在家人的陪同下转院住进了广东三九脑科医院神经外一科。家人在医生的解释下也大为吃惊,肿瘤大小约52mm×47mm×46mm,已经有鸡蛋大了,同时伴周围水肿。
入院后,完善相关检查,在10月23日进行了“前颅窝占位切除术”,病理报告示: (前颅窝)脑膜皮细胞型脑膜瘤,WHOⅠ级。曾某在手术后恢复良好,于11月5日康复出院。
据神经外一科主任张良介绍,脑膜瘤属良性肿瘤,生长慢,病程长。因肿瘤呈膨胀性生长,病人往往以头痛和癫痫为首发症状。手术切除脑膜瘤是最有效的治疗手段。放射治疗适用于恶性脑膜瘤切除后,或者未能全切的脑膜瘤,以及术后复发再手术困难者或无法手术切除的肿瘤。
医生提醒,颅内出现肿瘤后,患者会出现如癫痫发作、头痛、恶心、呕吐、肢体协调不好、四肢无力麻木、视力下降等情况。当身体出现几个信号时,一定要及时到医院进行检查。

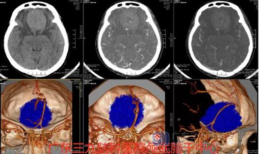
图1:术前CTA示前颅窝底占位性病变,其内示少许细小血管影穿行,双侧大脑前动脉分支向右推移、绕行。

图2:术前MR示前颅窝底(左侧为主)示一团块状占位性病变,大小约52mm×47mm×46mm,呈各序列偏等信号为主,增强后呈明显强化,邻近硬脑膜轻度增厚、强化;病变周围示大片状长T1长T2、FLAIR序列高信号水肿影,累及双侧额叶、双侧基底节区及胼胝体膝部。松果体区示一小圆形长T1长T2异常信号影,FLAIR序列呈等信号,大小约为1.21cm×1.14cm,边界清晰。双侧侧脑室前角受压。

图3:术前术后MR示左侧额部呈术后改变,原前颅窝底占位性病变已切除。

图4:术后病理示(前颅窝)脑膜皮细胞型脑膜瘤,WHOⅠ级。

广东三九脑科医院 地址:广州市沙太南路578号 邮政编码:510510 电话:86(020) 62323939
咨询手机:13922111505 邮箱:999brain120@163.com 传真:86(020) 6629 9224
Copyright 2006-2025 www.39brain.cn 广东三九脑科医院版权所有 粤ICP备06087008号