- 活动公告更多>>
-
- 警惕医托!一封患者和家属必读的信 05-20
- 典型案例更多>>
-
- 头痛呕吐也不能掉以轻心 02-17
- 面部出现闪电样疼痛 当心“天下第一痛”来袭 12-06
- 内镜辅助下经鼻切除促肾上腺皮质激素细胞腺瘤 11-28
- 双耳听力下降,小心颅内长肿瘤 10-19
- 成人出现这些症状 要警惕颅内肿瘤作祟 09-20
- 反复头晕四年没当回事,因复视就诊,查出脑膜瘤 02-09
作者: 时间:2020-01-15 出处:神经外一科 编辑:lsw 点击次数:22768
右侧肢体乏力、小腿无力发软••••••半年前出现的症状,李某直到3个月前症状加重才到医院就诊,通过影像检查,发现了元凶是脑袋里的肿瘤。
神经外一科主任张良接诊了李某,详细询问病史及查体后,建议其先行颅脑MR检查,结果回报示:左左侧额部镰旁示一团块状占位性病变,大小约72mm×48mm×39mm,肿瘤巨大,考虑脑膜瘤。张良主任告知患者检查结果,其肢体乏力等症状就是这个瘤子压迫脑组织引起的。
在排除手术禁忌症后,患者和家属同意进行开颅肿瘤切除手术。张良主任组织科室进行病例讨论,制定详细手术方案及各种术中预案,于全麻下为患者行“左侧额部镰窦旁脑膜瘤切除术”,张主任在显微镜下精细操作,血管周围肿瘤轻微分离,血管损伤少,左额顶部的巨大肿瘤完全切除,术程病理报告示: (左侧额顶部)纤维型脑膜瘤,WHOⅠ级。术后李某一般状态良好,顺利康复出院。
据了解,脑膜瘤是起源于脑膜及脑膜间隙的衍生物,由于脑膜瘤生长缓慢,起病隐匿,早期症状出现平均需2.5年,时间长的可达6年以上之久。因此患者来医院就诊时往往肿瘤已经较大,累及较多的神经和血管,增加了治疗的难度。脑膜瘤的治疗以手术切除为主,放化疗适用于恶性脑膜瘤切除后,或者未能全切的脑膜瘤,以及术后复发再手术困难者或无法手术切除的肿瘤。

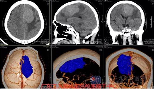
图1:术前CTA示左侧额部镰旁巨大占位性病变,其内示多发细小血管影,邻近双侧大脑前动脉受压右偏;右侧大脑后动脉主要由后交通动脉发出;双侧大脑前、中与后动脉、所示双侧颈内动脉与椎动脉及基底动脉走行稍僵硬、迂曲,部分管腔稍粗细不均,管壁未见粥样硬化斑块或钙化斑,未见闭塞、畸形血管或局限性囊状增粗影。

图2:术前MR示左侧额部镰旁示一团块状占位性病变,大小约72mm×48mm×39mm,边界清,呈长T1长T2、FLAIR序列高信号影,其内信号欠均,示斑片状稍短T2信号影,增强后病变呈明显欠均匀强化,邻近大脑镰示线样强化;病变周缘示线样脑脊液样信号影,周围脑组织受压推移并示片状水肿信号影,相应脑沟变浅,邻近左侧侧脑室受压变窄,中线结构略向右偏。右侧放射冠区示斑片状长T1长T2、FLAIR序列内低外高信号影,双侧基底节区示斑片状等T1长T2、FLAIR序列高信号影,双侧大脑半球白质内示多发斑点状、斑片状等T1长T2、FLAIR序列高信号影,增强后未见异常强化。

图3:术前术后MR示额部及双侧顶部呈术后改变,原左侧额部病变已切除。

图4:术后病理示(左侧额顶部)纤维型脑膜瘤。


广东三九脑科医院 地址:广州市沙太南路578号 邮政编码:510510 电话:86(020) 62323939
咨询手机:13922111505 邮箱:999brain120@163.com 传真:86(020) 6629 9224
Copyright 2006-2025 www.39brain.cn 广东三九脑科医院版权所有 粤ICP备06087008号