- 活动公告更多>>
-
- 警惕医托!一封患者和家属必读的信 05-20
- 典型案例更多>>
-
- 头痛呕吐也不能掉以轻心 02-17
- 面部出现闪电样疼痛 当心“天下第一痛”来袭 12-06
- 内镜辅助下经鼻切除促肾上腺皮质激素细胞腺瘤 11-28
- 双耳听力下降,小心颅内长肿瘤 10-19
- 成人出现这些症状 要警惕颅内肿瘤作祟 09-20
- 反复头晕四年没当回事,因复视就诊,查出脑膜瘤 02-09
作者: 时间:2020-04-15 出处:神经外一科 编辑:lsw 点击次数:22855
44岁的刘某,2个月前发现右侧颞部头皮凹陷,伴头晕不适。经检查,原来颅内藏着肿瘤!值得庆幸的是,医生为刘某成功切除了肿瘤,恢复良好,没有出现任何并发症和后遗症。
刘某主诉,她是在2个月前突然发现头皮凹陷的,同时伴有头晕,低头时头晕明显,休息可缓解。当时没有放在心上,2个月过后症状仍然存在,因此到当地医院检查,头颅CT示右侧颅中窝占位病变。在当地医院医生的建议下,刘某和家人来到了广东三九脑科医院,求助于神经外一科主任张良。
在进行进一步的检查后,张良高度怀疑刘某的占位病变是颅内表皮样囊肿。据了解,颅内胆脂瘤是起源于异位胚胎残余组织的先天性良性肿瘤,又称表皮样囊肿,可见于任何年龄,以20-50岁多见。临床表现有两型:①单纯三叉神经痛型:约占70%,主要表现为三叉神经痛,常有触发电点,与原发性三叉神经痛极为相识。但疼痛持续时间较长,仔细查体有同侧三叉神经区痛觉减退、角膜反射迟钝等。②桥小脑角肿瘤型:约占30%。首发症状多为患侧面肌抽搐,可有耳鸣、听力减退、行走不稳及头痛等。
完善相关检查后,由张良主任主刀在全麻下为患者行“右侧中后颅窝占位病变切除术”,术程顺利,病理报告示:(右侧中后颅窝)表皮样囊肿 。手术结束后,刘女士很快苏醒,恢复良好,没有出现严重并发症。
张良医生指出,此病的治疗以手术切除为主,且手术相对成熟,要争取全切除,因为囊肿包膜是生长最活跃的部分。如果错过最佳救治时间,导致脑部出现积水等情况,就很可能给患者带来致命的伤害。

图1:术前CTA示右侧岩骨尖区跨中后颅窝占位性病变,囊壁可见钙化,病灶边缘示少许小血管影,与邻近右侧颈内动脉、双侧椎动脉V4段远端及基底动脉关系密切

图2:术前MR示右侧跨中后颅窝囊性占位性病变,综合考虑为:表皮样囊肿可能性大

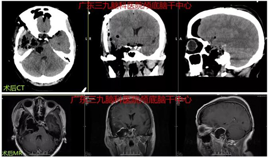
图3:术后CT及MR示右侧跨中后颅窝囊性占位性病变术后改变,原病灶已切除

图4:术中切除肿瘤

图5:术后病理报告示:(右侧中后颅窝)表皮样囊肿


广东三九脑科医院 地址:广州市沙太南路578号 邮政编码:510510 电话:86(020) 62323939
咨询手机:13922111505 邮箱:999brain120@163.com 传真:86(020) 6629 9224
Copyright 2006-2025 www.39brain.cn 广东三九脑科医院版权所有 粤ICP备06087008号