- 活动公告更多>>
-
- 警惕医托!一封患者和家属必读的信 05-20
- 典型案例更多>>
-
- 头痛呕吐也不能掉以轻心 02-17
- 面部出现闪电样疼痛 当心“天下第一痛”来袭 12-06
- 内镜辅助下经鼻切除促肾上腺皮质激素细胞腺瘤 11-28
- 双耳听力下降,小心颅内长肿瘤 10-19
- 成人出现这些症状 要警惕颅内肿瘤作祟 09-20
- 反复头晕四年没当回事,因复视就诊,查出脑膜瘤 02-09
作者: 时间:2022-11-28 编辑:李俏 点击次数:2196
患者**,女性,54岁。患者因“发现鞍区占位5天”于2022-10-03入院。患者在外院行头颅MR检查发现鞍区占位,考虑垂体瘤。为进一步求治,来我院就诊,入院后完善相关检查,于2022-10-12全麻下行“经鼻碟入路鞍区占位切除术”,术程顺利,病理报告示:(鞍区占位)垂体腺瘤/垂体神经内分泌肿瘤,结合促肾上腺皮质激素血清学26.0 ng/L (参考值 7.2-63.3 ng/L )及免疫组化结果符合静止型疏颗粒促肾上腺皮质激素细胞腺瘤。
本例手术由以下医护人员协作完成:
主刀团队:张良团队
麻醉医生:刘新贺
手术护士:王浪 白卓州
护理团队:李立娜、匡蕾蕾、李琼、李蜜、丘焕宜、辛英飞等
图:1:术前头颅CTA检查示鞍区示一团块状等、低密度影,向下突入蝶窦,病变血供丰富,包绕右侧颈内动脉,左侧颈内动脉受压外移;右侧海绵窦受侵。左椎动脉起源于主动脉弓左颈总动脉后方。右侧椎动脉及颈总动脉开口位置正常。左侧椎动脉较对侧稍细小,未见明显粗细不均。双侧大脑前、中与后动脉、双侧颈总与颈内动脉、右侧椎动脉及基底动脉走行稍僵直,双侧颈内动脉虹吸部示钙化斑。双侧颈内动脉起始部示弧形低密度影。双侧大脑后动脉由后交通动脉供血。甲状腺双侧叶示多发小结节状低密度影。
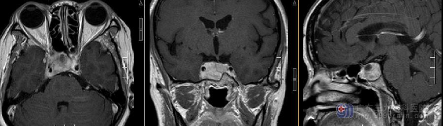
图2:术前MR示鞍区示一团块状囊实性占位性病变,实性部分呈等T1等T2信号,增强扫描明显强化,大小约27×23×19mm,病变包绕双侧颈内动脉,以右侧为著,右侧海绵窦受侵犯。垂体柄左偏,视交叉略受压。鞍底及鞍背骨质吸收变薄。
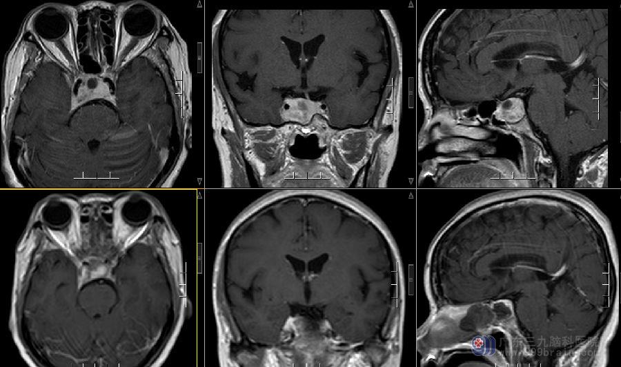
图3:术前术后MR示经鼻道-蝶窦呈术后改变,原鞍区病灶呈切除术后。
图4:术后病理:(鞍区占位)垂体腺瘤/垂体神经内分泌肿瘤,结合促肾上腺皮质激素血清学26.0 ng/L (参考值 7.2-63.3 ng/L )及免疫组化结果符合静止型疏颗粒促肾上腺皮质激素细胞腺瘤。注:静止型疏颗粒促肾上腺皮质激素细胞腺瘤属于高复发风险亚型垂体腺瘤
广东三九脑科医院 地址:广州市沙太南路578号 邮政编码:510510 电话:86(020) 62323939
咨询手机:13922111505 邮箱:999brain120@163.com 传真:86(020) 6629 9224
Copyright 2006-2025 www.39brain.cn 广东三九脑科医院版权所有 粤ICP备06087008号