- 活动公告更多>>
-
- 警惕医托!一封患者和家属必读的信 05-20
- 典型案例更多>>
-
- 头痛呕吐也不能掉以轻心 02-17
- 面部出现闪电样疼痛 当心“天下第一痛”来袭 12-06
- 内镜辅助下经鼻切除促肾上腺皮质激素细胞腺瘤 11-28
- 双耳听力下降,小心颅内长肿瘤 10-19
- 成人出现这些症状 要警惕颅内肿瘤作祟 09-20
- 反复头晕四年没当回事,因复视就诊,查出脑膜瘤 02-09
作者: 时间:2023-02-17 编辑:李俏 点击次数:2063
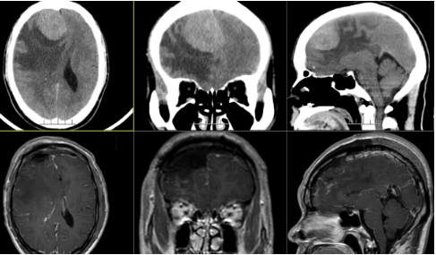
阿明今年48岁,像往常一样刚刚工作完回家吃饭,突然间头痛剧烈并出现干呕。以为是感冒受寒突然引起的,未引起重视,但是家人还是不不放心,立即带去当地医院。检查头颅CT示右侧额部占位性病变,瘤周水肿严重,当地医生建议上级医院继续治疗。
回到家后,隔壁邻居李大爷听说了阿明的情况,建议到广东三九脑科医院治疗,以前他有头痛挂过广东三九脑科医院神经外一科张良主任的门诊,这个张良教授专业及技术都是一流的。为进一步治疗,阿明和家人立即前往广东三九脑科医院找到了张良主任。
张良主任看过CT说这是右侧额部大脑镰旁示一团块状占位性病变,以邻近颅骨及大脑镰呈宽基底,呈囊实性,实性部分呈稍高密度影,囊性部分呈低密度影,病变边界清,大小约49×52×56mm。
安排住院需要择期手术,入院后完善相关术前检查,于2023-01-18在手术室全麻下为患者行“右侧额部脑膜瘤切除术”。


术后病理提示:初步报告:(右侧额部)形态学初步考虑为非典型脑膜瘤,CNS WHO2级。术后MRI提示:右侧额部占位性病变切除术后改变。
术后给予预防感染、预防癫痫、营养支持及对症治疗。经过科室评估,患者恢复出院。
广东三九脑科医院 地址:广州市沙太南路578号 邮政编码:510510 电话:86(020) 62323939
咨询手机:13922111505 邮箱:999brain120@163.com 传真:86(020) 6629 9224
Copyright 2006-2025 www.39brain.cn 广东三九脑科医院版权所有 粤ICP备06087008号