http://www.999brain.com 时间:2025-12-04 来源:广州日报2025-12-04 编辑:YSS 阅读:93
家住汕尾的阿勇(化名)今年52岁,从21年前开始出现癫痫大发作以来,他几乎从未独自出过门。近日,广州的医生从他颅内取出一条潜伏长达20余年、约10厘米的裂头蚴,他感到前所未有的轻松。
不敢独自出门的男子
“距离现在已经有21年了!”阿勇感慨道。那晚,他在睡梦中突然四肢抽搐、牙关咬紧、眼球上翻,完全失去意识。在当地医院被诊断为“肉芽肿炎”,但医生告知,手术可能加剧发作,阿勇选择了保守治疗。
服用抗癫痫药后,阿勇依然会出现癫痫发作。他的心理压力与日俱增,“每天在家,不敢一个人出门,担心随时发作。”他感觉脑袋始终堵着东西,只能靠小诊所的药片暂时缓解。
一年前,阿勇的病情进一步加重。每次发作后,会出现短暂失语、左侧面瘫和肢体麻木。颅脑MRI检查结果提示,可能是寄生虫感染。为寻求进一步诊疗,阿勇来到广东三九脑科医院。
手术取出10厘米活虫
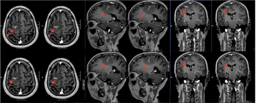
该院神经外二科张旭标副主任医师接诊后,根据影像结果,发现其右额叶病变,局部肉芽肿形成伴周围组织水肿。“这是大脑为了隔离‘入侵者’筑起一道‘隔离墙’,周围的脑组织被刺激得肿胀。”张旭标解释,这些影像特征高度指向脑裂头蚴病。经比对,病灶范围稳定,手术时机成熟。

术前影像
“很激动,身体被搞垮了20多年。”得知手术有望根治顽疾,阿勇在期待中夹杂着紧张。
手术采用神经导航技术,精确定位病变,张旭标在显微镜下小心抓取寄生虫、清理“虫窝”,避免损伤周围功能区脑组织。术中,一条长约10厘米的灰白色寄生虫被完整取出。术后病理报告证实为裂头蚴。

张旭标在手术中
术后恢复良好的阿勇,脸上露出了笑容,“头不‘堵’了,感觉人都开朗、轻松了。”
该院神经外二科副主任刘妲介绍,裂头蚴病多与饮食习惯相关,常因食用未煮熟的青蛙、蛇类,或饮用被污染的生水所致。阿勇回忆,自己曾喝过生水,后来偶尔也会食用生腌虾蟹。
寄生虫在大脑中“安家”后,会持续刺激周围组织,引发肉芽肿和水肿,压迫神经结构,进而导致癫痫、头痛、肢体麻木甚至意识丧失。由于潜伏期长、症状隐匿,极易被误诊为普通癫痫或脑肿瘤。刘妲特别提醒,预防寄生虫感染,关键要做到“三不”:不喝生水,不吃生食或未煮熟的食物,不用生肉敷贴伤口。
文、图/广州日报新花城记者:梁超仪 通讯员:张小美
广州日报新花城编辑:何雪华
https://huacheng.gz-cmc.com/pages/2025/12/04/SF14789860d0d0c9a42ba64469aac436.html

Copyright 2006-2026 广东三九脑科医院版权所有 粤ICP备11100995号 服务性质:非营利性网站 粤卫网审(2013)10号
粤公网安备 44011102002143号