http://www.999brain.com 时间:2011-12-07 来源:肿瘤综合治疗中心 阅读:24260
弥漫性大B细胞淋巴瘤是最常见的成人非霍奇金恶性淋巴瘤,其发病年龄很广,文献报道以老年人多见,目前据统计在年轻人身上也并非鲜有发生。http://www.999brain.com/
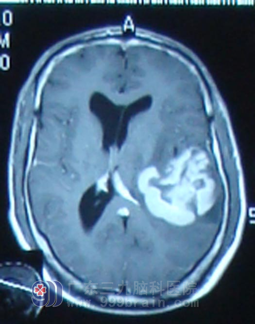
患者朱先生, 35岁,2011年10月21日无诱因出现头痛不适,且程度剧烈,伴言语不清,但是未予重视4天之后头痛正传未见缓解,还出现了呕吐数次,出现“癫痫”症状,表现为四肢抽搐,头后仰,双眼紧闭,持续2-3秒之后自行缓解,当地医院头颅CT及MR显示左颞叶占位,10月28日即来广东三九脑科医院就诊,来院时,朱先生神志清楚,不完全性失语,右侧肢体肌力稍减弱。完善相关检查且排除手术禁忌症后,11月4日行手术治疗,手术部分切除,术后病理为弥漫性大B细胞淋巴瘤,术后症状好转后转入肿瘤综合治疗中心行大剂量甲氨蝶呤化疗,化疗一程后复查MR显示原强化范围及水肿范围较前明显缩小。朱先生恢复到以往的工作和生活,医嘱定期复查。
【三九脑科专家解析】http://www.999brain.com/
广东三九脑科医院肿瘤综合治疗中心蔡林波主任介绍:弥漫性大 B 细胞淋巴瘤(DLBCL)是最常见的非霍奇金淋巴瘤 (NHL) ,约占全部 NHL 的 30%~40% 。为了进一步提高DLBCL患者的长期生存率,近年来开展了多方面的临床研究。其中,提高化疗剂量密度,大剂量甲氨喋呤化疗取得了令人瞩目的良好预后,是国际一线标准治疗。研究表明,今后根据生物标记的表达进行治疗方案的选择将成为可能。目前淋巴瘤采用手术,化疗,放疗等综合治疗方式以期最大限度地保护机体、最大限度地杀灭肿瘤细胞,达到提高治愈率,改善生活质量的目的,该患者之后还需多程大剂量甲氨喋呤化疗,杀灭残存肿瘤细胞。http://www.999brain.com/

治疗前

治疗后
【我要咨询】:15361765381 020-87734296
【了解更多】:肿瘤综合治疗中心
上一篇:肥厚性硬脑膜炎
Copyright 2006-2026 广东三九脑科医院版权所有 粤ICP备11100995号 服务性质:非营利性网站 粤卫网审(2013)10号
粤公网安备 44011102002143号