http://www.999brain.com 时间:2012-05-23 来源:垂体瘤诊疗中心 编辑:谢莉 阅读:104811
白内障是老年人高发的疾病,一般从40岁至50岁开始发病,主要症状是视力减退,视物模糊,患者感觉眼前“雾朦朦”。
曾先生在四、五十的时候,眼睛就开始不好使,不是平地摔跟斗就是撞门。在当地医院眼科检查,结果不是白内障。
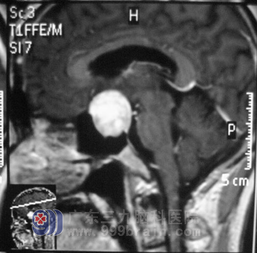
两周前,曾先生的视力下降较前明显,并伴有间断头痛,医生建议行脑部检查,头颅MR报告显示:鞍区占位性病变,考虑垂体大腺瘤,大小约28mm×27mm×30mm:

垂体瘤诊疗中心 鲁明主任告诉曾先生:当肿瘤向鞍上生长压迫视交叉和视神经时,就会引起视力下降或视野缺损,患者就会主诉视力下降、看不到两边,或总是撞门。出现了视力视野障碍就需要尽快手术,解除对视神经的压迫,挽救视力。检查发现,曾先生粗测视力左眼眼前1米指数,右眼视力约4.8米,视野无缺损。http://www.999brain.com/
5月3日,曾先生在全麻下行经鼻蝶垂体瘤切除术,术前导航定位,术中显微镜下见肿瘤呈灰白色,质软,镜下予肿瘤切除,并修补鞍底。术后,他的视力较前好转,没有出现并发症。术后病理结果为:垂体瘤(促性腺激素分泌腺瘤)。

【我要咨询】 13602473181 15915766180
【了解更多】 垂体瘤诊疗中心
上一篇:命途多舛渡坎坷
Copyright 2006-2026 广东三九脑科医院版权所有 粤ICP备11100995号 服务性质:非营利性网站 粤卫网审(2013)10号
粤公网安备 44011102002143号