http://www.999brain.com 时间:2013-03-20 来源:综合神经外科 编辑:谢莉 阅读:62860
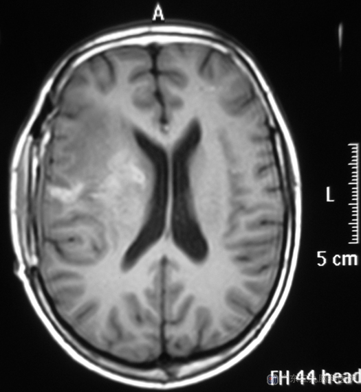
小徐一天前出现头部钝痛,疼痛部位不固定,难以忍受,不能缓解,伴有呕吐数次。家人担心脑袋了长了肿瘤。立即送他去当地医院检查,头颅CT检查提示右侧额叶、基底节区巨大占位性病变,广东三九脑科医院头颅MR检查:右侧基底节区示一囊状占位性病变,大小约为62.4mm×44.9mm×45.0mm,中线结构向左偏,考虑脑脓肿可能性大。

综合神经外科 鲁明主任告诉他们,脓肿切除术是最有效的治疗方法。
由鲁主任主刀,在唤醒麻醉下行右侧额叶、基底节区脑脓肿壁部分切除术,术中导航定位,显微镜下见脓肿壁与脑组织粘连严重,分离困难,切开脓肿腔,吸引器吸除残余脓液,冲洗脓肿腔,沿脓肿壁分离分块切除,过程顺利。术后病理:脑脓肿。

【我要咨询】 13602473181 15915766180
【了解更多】 综合神经外科
【QQ聊聊】: 1194617505
Copyright 2006-2026 广东三九脑科医院版权所有 粤ICP备11100995号 服务性质:非营利性网站 粤卫网审(2013)10号
粤公网安备 44011102002143号