http://www.999brain.com 外五科 时间:2013-05-03 编辑:韩雪媚 阅读:24241
那天,黄女士像往常一样骑着电动自行车下班,在一个十字路口被另一辆自行车撞致头部外伤,到当地医院就诊,不料被告知外伤无大碍但头部CT检查却发现了左侧额叶占位性病变,如鸡蛋般大小,考虑为脑肿瘤。黄女士百思不得其解:自己平素身体很健康,连感冒都很少,怎么会得巨大肿瘤呢?怎么自己平时一点不适症状都没有呢?自己很少有头痛头晕等不适啊!www.999brain.com
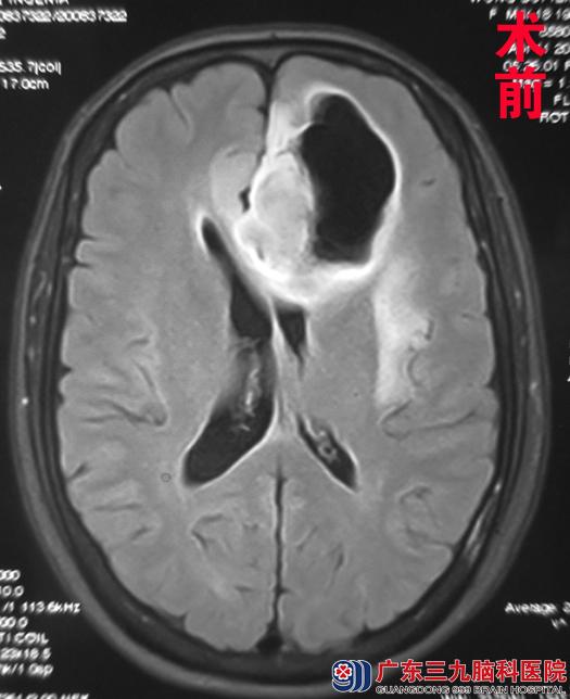
为求进一步治疗,黄女士经朋友介绍来到广东三九脑科医院综合神经外科(神经外五科)求治。入院头颅磁共振检查见:左侧额叶占位,大小约3.76 cm×5.55 cm×4.07cm。完善相关检查后,外五科鲁明主任主刀,在唤醒麻醉下为其行左侧额叶占位切除术+颅内压探头置入术。术中采用导航定位,用电生理探查术区皮层功能,术中显微镜下见白色肿瘤组织,血供一般,边界不清,在患者语言、运动配合正常下,全切肿瘤,手术顺利结束。术后黄女士未出现语言及肢体功能障碍,顺利康复。术后病理结果:少突胶质细胞瘤(WHO II级)。


【专家点评】:
综合神经外科(神经外五科)鲁明主任表示,不少脑肿瘤早期症状并不明显,但大多数患者可伴有头痛症状,由于疼痛程度较轻而被忽视。脑肿瘤患者的头痛多发生在夜间和清晨,尤以早晨起床后痛感明显,起床活动后,痛感逐渐缓解或消失。头痛多为间歇性发作,表现为搏动性疼痛和胀痛,每次发作持续数分钟或数小时。当肿瘤继续增大,疼痛会加重,并伴有喷射性呕吐,咳嗽、打喷嚏、排便时头痛加重。因此。长期头痛或经常头痛应行头部检查排除脑肿瘤的可能。www.999brain.com
【我要咨询】 13602473181 13580498045
【了解更多】 综合神经外科
【QQ聊聊】: 1194617505
2858832073
【神经外科专家群】56758608
Copyright 2006-2026 广东三九脑科医院版权所有 粤ICP备11100995号 服务性质:非营利性网站 粤卫网审(2013)10号
粤公网安备 44011102002143号