http://www.999brain.com 时间:2013-06-11 来源:综合神经外科 编辑:胡春云 阅读:34252
新年过后,小陈来到广州打工,希望能通过自己的努力拼一番事业出来。不知是思想压力大还是休息不好,小陈来到广州后就隐隐出现头痛,呈阵发性胀痛,未引起重视,两月后小陈自觉症状加重,伴有头晕,到医院就诊行头颅CT检查提示鞍区占位。?xml:namespace>
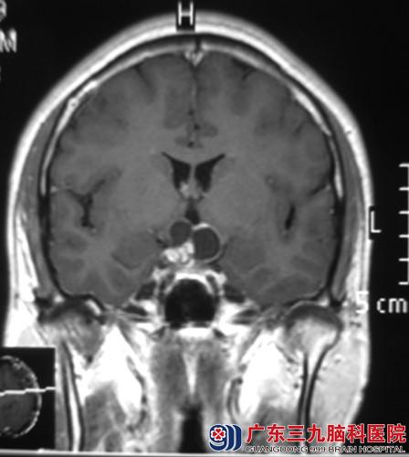
找到广东三九脑科医院综合神经外科 鲁明主任就诊,行头颅MR检查提示:鞍上示一囊实性占位病灶,大小约25.8*18.2*19.9mm,鲁明主任考虑颅咽管瘤可能性大。完善相关检查后,由鲁明主任主刀,在全麻下行经额前纵裂入路颅咽管瘤切除术,术中暴露双侧视神经及视交叉,见肿瘤位于鞍上,呈囊实性,在显微镜下予肿瘤切除,手术顺利结束,术后患者经专科治疗护理,小陈视力、视野正常,未出现任何术后并发症,康复出院。术后病理结果:颅咽管瘤。
小陈并没有因此而受挫,认为“天将降大任于斯人也,必先苦其心志,劳其筋骨,饿其体肤……”小陈会继续朝着他的远大宏图前进。
术前 术后

【我要咨询】 13602473181 020-62323939 87734296
【了解更多】 综合神经外科
【神经外科专家群】56758608
Copyright 2006-2026 广东三九脑科医院版权所有 粤ICP备11100995号 服务性质:非营利性网站 粤卫网审(2013)10号
粤公网安备 44011102002143号