http://www.999brain.com 时间:2014-07-31 来源:综合神经外科 编辑:谢莉 阅读:46283
“意识丧失和正在进行的动作中断,双眼茫然凝视,呼之不应,持续几秒或十几秒等”这种症状常容易被很多人误以为是“发呆”,容易被忽视,待发作变得越来越频繁、程度加重时,去医院就诊才恍然大悟。
8个多月前,阿华经常会突然出现双眼凝视,双手活动停止,全身动也不动,持续数秒后自行好转。
起初阿华没在意,但随着同事和家人的不断提醒,她去当地医院检查,医生给予服用“丙戊酸钠及卡马西平”等药物,效果不显著。为明确具体原因,阿华来到广东三九脑科医院。
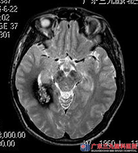
头颅MRI检查提示:右侧颞叶内后侧、右侧侧脑室后角旁异常信号影,考虑海绵状血管瘤可能性大。综合神经外科鲁明主任考虑阿华的症状是属于失神发作,口服药物治疗效果不好,建议手术切除病灶。
完善相关检查后,由鲁明主任主刀,在全麻下行右侧颞叶内侧脑室三角区海绵状血管瘤切除+前颞叶致痫灶切除术,术中导航定位,显微镜下见暗红色病变组织,质韧、边界欠清,血供丰富,周围黄色含铁血黄素沉着,逐步分离,全切病变。术后,阿华再也没有出现过失神发作,术后病理结果:海绵状血管瘤。

手术前

手术后

Copyright 2006-2026 广东三九脑科医院版权所有 粤ICP备11100995号 服务性质:非营利性网站 粤卫网审(2013)10号
粤公网安备 44011102002143号