http://www.999brain.com 时间:2014-11-13 来源:神经外三科 编辑:xzd 阅读:57687
黄伯,今年65岁,数月前的一天无明显诱因出现说话不利索,并有右侧肢体活动障碍,当地医院检查,头颅MR检查提示:颅内多发占位病变。
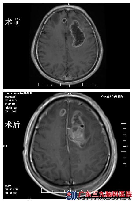
广东三九脑科医院进一步行头颅检查,MRI平扫+增强检查提示:1、双侧额叶及胼胝区占位性病变,考虑高级别胶质瘤,以胶质母细胞瘤可能性大。2、脑白质多发脱髓鞘灶。MRS检查提示:左侧额叶病变感兴趣区Cho峰升高,NAA峰明显下降,可见Lip峰,支持偏恶性肿瘤诊断。3D-ASL检查提示:侧额叶及胼胝体区多发病变呈低灌注。
检查无明显手术禁忌症,于2014年9月4日,神经外三科为其在全麻下“左侧额顶叶占位切除术”。手术顺利,术后15日行头部适形放疗。经治疗,黄伯言语不清较前好转,肢体活动基本正常,遂出院。病理报告:胶质母细胞瘤 WHO 4级。

【知识链接】
胶质母细胞瘤是星形细胞肿瘤中恶性程度最高的胶质瘤,属WHO Ⅳ级。表现症状有头痛、精神改变、肢体无力、呕吐、意识障碍与言语障碍等。肿瘤浸润性破坏脑组织,造成一系列的局灶症状,患者可能会出现不同程度的偏瘫、偏身感觉障碍、失语和偏盲等。
胶质瘤的生长速度快、病程短,70%~80%患者病程在3~6个月,病程超过1年者仅10%。因肿瘤恶性程度高,95%未经治疗的患者生存期不超过3个月。由于胶质瘤浸润性生长,与脑组织间无明显边界,难以作到全部手术切除,所以,胶质瘤的治疗主张以手术治疗为主,术后配合以放射治疗、化学治疗等,可延缓复发及延长生存期。

Copyright 2006-2026 广东三九脑科医院版权所有 粤ICP备11100995号 服务性质:非营利性网站 粤卫网审(2013)10号
粤公网安备 44011102002143号