http://www.999brain.com 时间:2015-03-27 来源:肿瘤综合治疗中心 编辑:胡春云 阅读:21241
脑转移瘤是颅内常见的恶性肿瘤之一,是指人体其它部位的恶性肿瘤转移至颅内者。近年来,脑转移瘤发病率上升迅速,甚至超过了原发脑肿瘤。脑转移瘤的症状主要有头痛、可伴有恶心呕吐,此外还可有注意力不集中、反应迟钝、情绪淡漠、记忆力减退、定向力障碍,甚至出现肢体麻木、偏瘫、失语等症状。专家特别提醒,一旦发现上述症状,需及时去医院检查治疗。
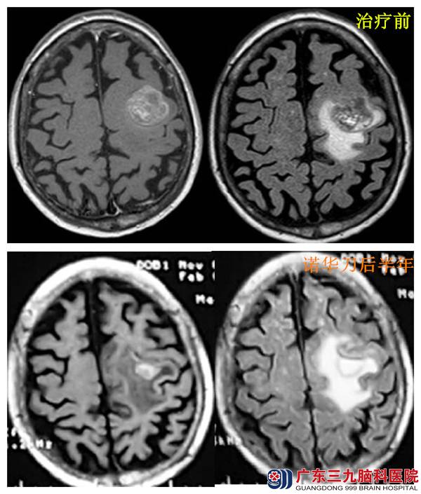
【案例】
患者罗某,男,79岁,患者2010年治疗肾结石时,发现左肾占位,行左肾根治性切除术,术后病理提示中分化鳞状细胞癌,术后恢复良好,术后未行其他特殊治疗。2014年1月被诊断为慢性肾功能不全,未特殊治。2014年7月,患者无明显诱因出现右侧肢体无力,到当地医院就诊,头颅MRI提示左侧额颞叶占位性病变,对症处理后未见明显缓解,遂于2014年9月到广东三九脑科医院就诊。
入院后完善相关检查,查体右侧肢体肌力Ⅲ级,全身PET-CT检查结果:1.左侧额叶占位,考虑转移瘤伴出血;2.左肾术后缺如,右肾萎缩,右肾下盏结石。诊断:1.左额叶占位性病变,转移瘤可能性大;2.左肾鳞状细胞癌;3.双肾多发结石;4.肾功能不全。予患者分别行两次诺华刀治疗,共三个病灶,三个等中心,过程顺利,患者无特殊不适。
患者于诺华刀治疗后半年复查:神清、对答切题、查体合作、右侧肢体肌力V-级、肌张力正常。

广东三九脑科医院肿瘤综合治疗中心蔡林波主任介绍:诺华刀的精髓是实现精确、快速、舒适的立体定向放射外科治疗,它对肿瘤的治疗精度达到亚毫米级,能够更好的保护正常组织和器官,它在治疗过程中无需麻醉、不出血、无疼痛,不会给病人带来任何不适,特别适合高龄、体弱或不能承受手术的病患。

Copyright 2006-2026 广东三九脑科医院版权所有 粤ICP备11100995号 服务性质:非营利性网站 粤卫网审(2013)10号
粤公网安备 44011102002143号