http://www.999brain.com 时间:2015-05-25 编辑:胡春云 阅读:21684
颅内转移瘤(又称脑转移廇)系指原发于身体其他部位的肿瘤细胞转入颅内,其发病率占颅内肿瘤的3.5%-10%,国内外均认为以肺癌脑转移最多见,其次是黑色素瘤,泌尿生殖系肿瘤和消化道肿瘤,亦有相当部分患者找不到原发灶,即使有脑转移瘤,手术后仍不能确定肿瘤来源。
【肺癌脑转移瘤案例分析】
范某某,男,58岁,因左上肢麻木20天,右下肢乏力伴头晕、头痛15天,于2014年8月中旬入广东三九脑科医院肿瘤综合治疗中心就诊。
患者2014年7月上旬无明显诱因出现左上肢麻木,先从指尖开始,逐步向上发展,7月底出现右下肢乏力,伴有间歇性头痛,头晕,主要为前额部隐痛,右下肢乏力呈进行性加重,当地人民医院性头颅CT检查示:颅内多发异常密度灶,考虑转移瘤可能。
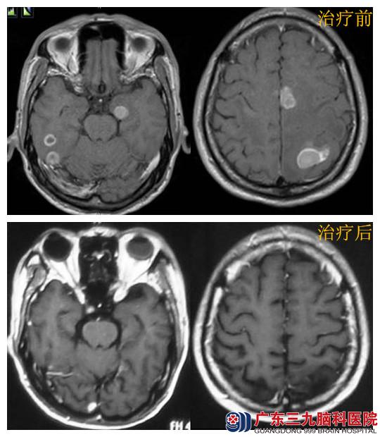
入院行胸部CT示右肺中央型肺癌可能可能性大,行肺部肿物支纤镜活检病理示:右肺中叶低分化腺癌。头颅MRI诊断:颅内多发占位性病变,病灶达12个之多,大小不等,最大的直径近3cm,这种情况已无手术机会,常规的全脑放疗不能照射足够的剂量,不能很好的消灭肿瘤,因此必须使用诺华刀。8月23日行头颅多发病灶x刀治疗,确定10个病灶,10个等中心,8月27日-10月10行肺部适形调强放疗,完成剂量60GGy/30f,放疗期间同步顺铂化疗,9月6日开始行全脑放疗,完成剂量36Gy/18f。诺华刀后3月复查头颅MR示肿瘤完全消失,患者恢复正常工作。

肿瘤综合治疗中心蔡林波主任解析:传统的观点认为,脑转移瘤患者多为晚期,没有太大的治疗价值,很多患者因此采取消极的态度,延误了病情。然而,从近几年来对脑转移瘤患者的治疗情况来看,积极地对症治疗大有裨益,既可以延长患者的寿命,提高他们的生活质量,还可以为患者的其它治疗赢得时间和机会。而我院最新引进的诺华刀——新一代神经肿瘤放疗系统集现代影像成像技术、立体定向于一身,具有超高精确性,治疗过程中不麻醉、不出血、无疼痛,不会给病人带来任何不适,特别适合高龄、体弱、不能承受手术或常规全脑放疗的病患。

Copyright 2006-2026 广东三九脑科医院版权所有 粤ICP备11100995号 服务性质:非营利性网站 粤卫网审(2013)10号
粤公网安备 44011102002143号