http://www.999brain.com 时间:2015-05-21 来源:综合神经外科 编辑:谢莉 阅读:45534
33岁的陈女士2个月前开始出现四肢抽搐,发作时口吐白沫,四肢强直抽动,神志不清,持续时间约数分钟后自行清醒。
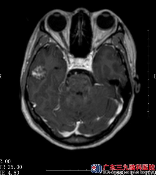
当地医院行头颅CT检查,考虑为右侧颞叶病变。入住广东三九脑科医院综合神经外科,头颅MR检查示“右颞叶占位,直径约2cm,考虑海绵状血管瘤”,动态脑电图示“右颞叶重度异常脑电反应”。
鲁明主任阅片后考虑右侧颞叶海绵状血管瘤,根据脑电图显示,陈女士的癫痫发作与海绵状血管瘤关系密切。
常规术前准备后, 5月11日,鲁明主任主刀在唤醒麻醉下行“右侧颞叶海绵状血管瘤切除+前颞叶切除术”。术中给予电生理监测,脑电图提示右侧颞叶皮质存在异常放电波;麻醉苏醒后,在患者语言及肢体配合下给予全切右侧颞叶海绵状血管瘤,沿右侧颞叶脑电图所示放电范围切除部分颞叶,再次监测皮层,未见异常放电。
术后陈女士未再出现肢体抽搐,四肢活动良好,术后病理结果示“海绵状血管瘤”。


▲手术前


▲手术后

Copyright 2006-2026 广东三九脑科医院版权所有 粤ICP备11100995号 服务性质:非营利性网站 粤卫网审(2013)10号
粤公网安备 44011102002143号