http://www.999brain.com 颜刘清 时间:2015-06-04 编辑:廖紫阳 阅读:17557
临床上人们通常将Rasmussen 脑炎称为Rasmussen 综合征,是由于慢性局灶性脑炎所致的局灶性癫痫病。对于该病的发病原因,目前主要有病毒感染学说和细胞免疫学说两种观点,但是都缺乏强有力的证据证实那种观点代表了该病发病的客观原因,因而目前对Rasmussen 脑炎的发病原因,尚不十分明确。Rasmussen 脑炎作为一种病因尚不十分明确的罕见难治性疾病,其发作对神经系统的损害是很大的,早期诊断积极治疗是防止造成神经系统进一步损害的主要手段。
1.1 Rasmussen 脑炎的诊断依据
对Rasmussen 脑炎的诊断,参照Derry 等2002 年提出的诊断标准进行诊断,具体标准为:①临床上有局灶性癫痫发作,伴有或不伴有部分连续发作和一侧皮质缺损;②脑电图显示一侧半球慢波,伴有或不伴有癫痫样电活动和一侧癫痫性发作;③MRI 扫描显示一侧局灶性皮质萎缩,至少是灰质或白质在T2/Flair 上有高信号,同侧尾状核头部高信号或萎缩;④临床上有癫痫部分连续发作或一侧进行性皮质性功能缺失;⑤MRI 扫描可见进行性一侧皮质萎缩;⑥T-细胞为主的脑炎伴激活的胶质细胞和反应性星形细胞增多,或脑实质内有许多巨噬细胞或浆细胞或可除外RE 的病毒包涵体。在具体的诊断中,将①、②、③视为A 组标准,将④、⑤、⑥视为B 组标准,满足A 组所有标准或满足B 组任意2 条或3条的,诊断为Rasmussen 脑炎。
1.2影像评价
Rasmussen 脑炎患者的MRI 影像评价:评估MRI 影像中显示的脑萎缩和灰质信号改变情况以及以上改变在随访MRI 检查中的进展情况,评价脑萎缩包括皮层萎缩的部位和范围、外侧裂、局部脑沟变化情况、患侧侧脑室体部位大小及与对侧比较、颞角大小及与对侧比较。脑沟、脑裂、脑室增宽的评价以健康侧脑沟、脑裂、脑室为标准,增宽<25%为轻度,增宽在25%~50%为中度,增宽>50%为重度。
1.3 讨论
Rasmussen 脑炎是一种发病原因尚不十分明确罕见疾病。1958 年,加拿大神经病学研究者西奥多·拉斯穆森(Theodore Rasmussen)及其同事首先发现了3 例由慢性局灶性脑炎所致的局灶性癫痫病,当时他们根据该病脑组织标本在病理学上的表现,认为该病可能是由病毒感染引起。之后很多学者应用原位杂交PCR 方法研究发现了肌细胞病毒和单纯疱疹病毒在Rasmussen 脑炎中呈阳性表达,因此因为病毒感染可能与Rasmussen 脑炎发病相关,相关流行病学研究也显示该病与病毒感染有关。但后来一些研究发现:“并不是所有的Rasmussen 脑炎患者组织标本中都存在病毒感染。”近年来有研究证实,Rasmussen脑炎并不是由单纯的病毒引起,病毒感染后的免疫反应也是该病发病的重要机制。Rasmussen 脑炎患者的MRI 影像特点主要有患侧侧脑室体部和颞角扩大、外侧裂和局部脑沟增宽、脑回变小、壳核和尾状核萎缩,这与病理学检查结果基本上一致,与前人的相关研究基本一致。另外,Rasmussen 脑炎患者的MRI 影像还实现,灰质区和白质区T2WI 和FLAIR 系列呈高信号,T1WI 系列呈不均匀低信号。随着病变的进展,MRI 影像可见病变侧半球萎缩性改变加重和范围扩大,皮层信号改变较大,可以较好的显示病变进行,可为预后评估提供较多的参考信息。
综上所述,MRI 检查在Rasmussen 脑炎诊断及以后评估中具有很高的临床应用价值。
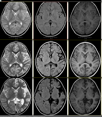
附我院一典型病例:
患者林XX,女,3岁2月,因“发作性神志不清8月余”于2014-11-5第一次入院。
病例特点:1、幼年女性,慢性病程,右利手。2.主要表现发作性神志不清8月余。家属病史描叙欠详。患儿2岁6月龄(2014年3月13日)凌晨4点左右睡眠中突然起身,咳嗽,呕吐胃内容物,家属发现患者双眼右侧偏斜,呼之不应,右上肢屈曲发硬,持续约30分钟左右缓解。2岁8月龄(2014年6月26日)夜间睡眠中再发同前,且出现口唇发绀,流口水,动作停止,四肢发软,持续约1小时后出现右侧口角及右侧肢体抽动,急诊至当地医院使用安定后好转;3岁1月(2014年10月1日)夜间持续约2小时左右缓解。3岁2月龄(2014年11月1日)类似发作持续约1小时后出现双眼左侧斜视,左侧肢体抽动,右侧肢体不动,持续约4小时左右缓解。急诊至当地医院,诊治不详,昏睡1天,醒来发现(11月3日)不能走路,右侧肢体活动不灵活。且患儿近4日出现言语欠流利。患者后2次发作前2天均有感冒、发热达38.3°C,自行予布洛芬退热后出现类似发作。外院诊治不详,曾建议使用抗癫痫药物,家属暂不同意。今为进一步诊治拟 “癫痫”入我院。
患者2014-11-7、1014-11-21住院头颅MR检查,后2015-3-21门诊返院头颅MR检查,图像先后如下:


Copyright 2006-2026 广东三九脑科医院版权所有 粤ICP备11100995号 服务性质:非营利性网站 粤卫网审(2013)10号
粤公网安备 44011102002143号