http://www.999brain.com 时间:2016-03-07 来源:影像诊断中心 贺鹏 编辑:lsw 阅读:16375
陈某,男,60岁,因“突发左侧肢体乏力9天,加重伴意识障碍5天”于2015年11月19日入院。患者发病前有发热,体温最高38.6度,伴有咽痛不适,无鼻塞、流涕,未予以特殊治疗。9天前患者无明显诱因出现左侧肢体乏力,表现为持物乏力,搀扶行走,无头痛、头晕,无恶心、呕吐、胸闷、心悸等不适。遂往当地医院就诊,头颅MRI提示示:1、右侧基底节、放射冠急性脑梗塞;2、双侧侧脑室旁、半卵圆中心脑白质变性。患者11月11日意识状况加重,遂转入广东三九脑科医院。
查体:神志清晰,言语欠清,查体配合。颈强,颌下4横指,Kerning、Brudzinski征阳性。四肢肌张力增高,左上肢肌力3级,右上肢肌力5-级,双下肢肌力5-级,双侧指鼻、轮替,跟膝胫试验不配合,Romberg 试验不配合,联合屈曲征阴性。双侧Babinski征、Chaddock征、Scheaffer征、Oppenheim征、Gorden征、Gonda征、和Pussep征阳性。 梅毒确证(TPPA) 阳性(+)、梅毒稀释度试验 1:1(阴性)。
实验室检查:WBC 16.4×109/L,脑脊液常规示:蛋白定性(潘氏试验) ±,梅毒确证(TPPA) 阳性(+),脑脊液梅毒稀释度示:梅毒稀释度试验(-)。单纯疱疹病毒Ⅰ型IgG抗体(+),风疹病毒IgG抗体(+),巨细胞病毒IgG抗体(+)。
影像资料:




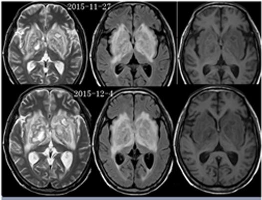
2015-11-27MR:双侧基底节区及双侧大脑脚示较对称片状异常信号, T1WI呈不匀低信号影,T2WI呈不匀高信号影,FLAIR序列呈不匀高信号,累及视交叉、视束及部分丘脑。2015-12-04复查:双侧基底节区及双侧大脑脚病灶范围较前稍增大。2015-12-07增强后病变呈多发环形薄壁或片状强化,DWI呈不均匀高信号。右侧基底节区病灶感兴趣区,可见Cho峰、NAA峰及Cr峰,Cho峰未见明显升高,Cho/Cr比值约为0.34,NAA/Cr比值约为0.56,Cho/NAA比值约0.61。综合平扫、增强、DWI、MRS所见,可排除肿瘤性病变,支持感染性病变(真菌或病毒感染可能性大)。
患者在全麻下行立体定向下右侧基底节区占位性病变活检术,术中可见病变呈囊实性,回抽可见病变为囊性,洗肉样,抽出约8ml后回抽有阻力,拔出针心带出少许异常组织,重复多次取出少量异常组织送检。
光镜所见:送检(右侧基底节区)少许脑组织,小胶质细胞和肥胖型星形细胞增生、灶片状出血,神经元尼氏小体边集或消失,核固缩,突起减少或消失,核小体仁不明显,小胶质细胞侵入,形成神经元卫星现象或噬神经元现象:血管周围较多淋巴细胞、浆细胞及中性粒细胞浸润,局部可见坏死组织及多核巨细胞,其间散在少量真菌菌丝及孢子。

病理诊断:右侧基底节区考虑真菌感染,形态符合毛霉菌。
讨论:毛霉菌是一种极普通的真菌,常见于果类、淀粉类物质、土壤和腐败植物中,也常为实验室的常见污染菌,健康人的鼻咽部和粪便中常可培养出此菌。毛霉菌感染是一种机会性感染,在重病衰竭、恶病质以及长期应用抗生素、激素、化疗和放疗等免疫功能低下及有静脉吸食毒品的病人好发此病。
本病可发生于任何年龄,多见于糖尿病病人。病前常有应用大量抗生素或激素史。常急性高热起病,伴头痛、呕吐。可出现抽搐、偏瘫、精神错乱、昏迷等症状。一般病程持续1~2周,如不及时救治,常因呼吸、循环衰竭而死亡,病死率较高。脑脊液外观清亮或微混,压力和蛋白增高,糖和氯化物正常,以淋巴或中性粒细胞为主的白细胞升高。常见的发病部位为颅内、肺、消化道、皮肤、眼眶、鼻窦。
鉴别诊断:1.肿瘤性病变(大脑胶质瘤病、低级别星形细胞瘤)2.非肿瘤性病变(病毒性脑炎、隐球菌性脑炎、其他类型脑炎)。

Copyright 2006-2026 广东三九脑科医院版权所有 粤ICP备11100995号 服务性质:非营利性网站 粤卫网审(2013)10号
粤公网安备 44011102002143号