http://www.999brain.com 影像中心 吴静 时间:2016-03-15 编辑:lsw 阅读:11274
陈某,男,42岁,因“左眼进行性突出伴视力下降15年,前额及左眼疼痛10天余”为主诉入院。患者15年前无明显诱因出现左眼轻度突出,未予治疗,以后该侧眼球及眼眶进行性突出,视力进行性下降,伴有间断性畏光、流泪,随后自己购买滴眼液给予左眼滴眼后症状缓解,近10天来出现前额部及左眼眶周疼痛,到当地医院就诊,CT报告示“左侧前颅窝底巨大占位性病变”,为进一步诊治到广东三九脑科医院。
查体:生命体征平稳,神志清楚,语言流畅,左侧眼球及眼眶突出,双侧瞳孔等大等圆,直径约3mm,对光反射灵敏,眼球运动自如,右眼视力5.2,左眼视力1米处有视物感,视野正常,睁眼、闭眼自如,双侧角膜反射灵敏,额纹、鼻唇沟对称,嘴角无畸形,粗测听力未见异常,四肢发育正常,四肢肌力5级。双侧膝腱反射、跟腱反射对称存在。双侧Babinski征阴性。血清总胆固醇:4.68mmol/L,高密度脂蛋白:1.02 mmol/L ,低密度脂蛋白2.99 mmol/L ,均未见异常。
【影像检查】
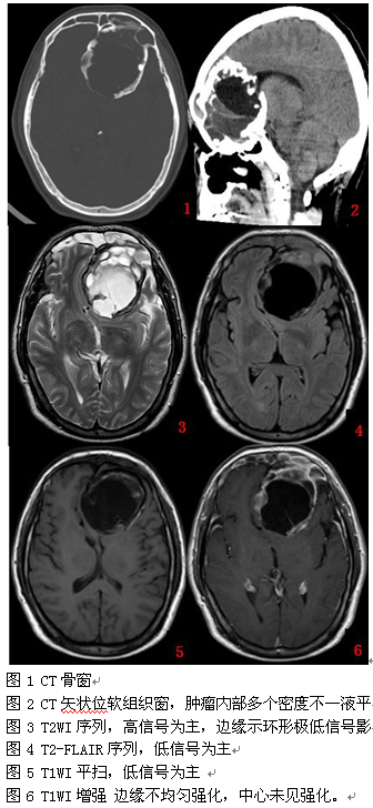
CT示左侧前颅窝底一较大占位性病变,向下累及左侧筛窦及蝶窦,左侧筛窦呈膨胀性改变,左侧眼球受推压前移。病变周围可见硬化边,其内密度不均,部分呈明显低密度,部分呈稍低密度,其内可见多个分隔,部分分隔可见点状高密度影。病变边界清晰,范围约为7.37cm×6.39cm×7.00cm,周围脑组织受推压。考虑骨源性肿瘤可能。
MR示前颅窝底偏左侧一较大的囊实性占位性病变,囊性部分较大,呈长T1长T2信号,FLAIR序列呈稍高信号,实性部分呈等T1短T2信号,FLAIR序列呈稍低信号,增强后,病变呈不规则环形强化,其内可见多个分隔,范围约为7.05cm×5.20cm×7.27cm。病变周边可见极低的含铁血黄素影,边界清晰,向下累及左侧筛窦,左侧内直肌明显受推压,病变边界清晰,周围未见明确水肿信号影。考虑偏良性病变,骨源性肿瘤可能性大。
经择期全麻下行左侧前颅窝底巨大占位病变切除术+颅底重建术,取额部冠状切口入路,术中见病灶位于颅底,长入硬脑膜下,与脑组织粘连,见病灶内含黄色组织,质硬,血供丰富。术后病理回报:黄色瘤。随访两年余未见复发。


【专家点评】
骨原发性黄色瘤指原发于骨骼、不伴高脂血症等脂质代谢障碍和外伤 ,组织学以纤维组织细胞 、大量泡沫细胞和多核巨细胞增生为特点的病变 ,极其罕见。黄色瘤可发生于人体的不同位置,最为常见的是位于皮肤黏膜及肌腱。骨黄色瘤较少,发生于颅骨的则更少,曾报道了21例骨黄色瘤,只有2例来源于颅骨,发生于前额骨的非常罕见,迄今为止只有一例报道,本例即为一例发生于前额骨的黄色瘤,并且不合并高脂血症。
黄色瘤并非真正意义的肿瘤,其治疗方式不一定需要手术切除,因此,术前采用影像学手段来进行鉴别诊断就显得尤为重要。但是,颅骨的原发性黄色瘤影像学表现无特异性,与其它良性骨肿瘤或肿瘤样变如动脉瘤样骨囊肿等鉴别困难,本例含有气液平面,其内信号混杂,增强后囊壁见明显强化,术前易误诊为动脉瘤样骨囊肿。动脉瘤样骨囊肿多发生于20岁以下,本例年纪较大,长骨干骺端多见,颅骨少见,呈蜂窝状改变,腔内常含不凝血液,光镜下可见大量充满血液的腔隙,囊壁和囊腔间隔是由纤维母细胞、肌纤维母细胞、单核细胞组成,壁上有含铁血黄素沉着和大量多核细胞、类骨组织和巨细胞等,但不含黄色瘤特征性的泡沫细胞,在病理上可明确诊断。另外,斜坡黄色瘤需要与脊索瘤鉴别,斜坡黄色瘤与脊索瘤均可呈明显长T1长T2信号影,但黄色瘤宽泛生长在骨之内,骨表面保留了正常外观,病变边界清楚,不累及周围软组织,但脊索瘤边界模糊,周围可合并巨大软组织肿块,以此可兹鉴别。
总体来说,骨黄色瘤影像学上仍缺乏特异性,最终诊断仍然依赖病理,因为黄色瘤在病理上很容易区分,具有特征性的泡沫细胞。病理上需与含泡沫细胞、多核巨细胞等黄色瘤成分的其它良性骨病变鉴别,如纤维性骨皮质缺损、骨的纤维组织细胞瘤、动脉瘤样骨囊肿及慢性骨髓炎等,病理上可根据发病年龄、病变部位、泡沫细胞和纤维组织的比例来区分骨的黄色瘤与纤维组织细胞瘤。另外需了解患者是否有外伤史和脂质代谢疾病排除继发性黄色瘤可能,本例无外伤史,血清胆固醇未见异常,故基本可排除。
总之,骨的孤立性原发性黄色瘤临床呈良性经过,手术切除效果好,一般无复发,不需术后放化疗。

Copyright 2006-2026 广东三九脑科医院版权所有 粤ICP备11100995号 服务性质:非营利性网站 粤卫网审(2013)10号
粤公网安备 44011102002143号