http://www.999brain.com 癫痫中心 周青 时间:2016-04-08 编辑:lsw 阅读:18927
基因诊断又称DNA诊断或分子诊断,某些受精卵(种质)或母体受到环境或遗传等的影响,引起的下一代基因组发生了有害改变,产生了(体质)疾病,为了有针对性的解决和预防,故需要通过实验室的基因诊断、基因分析才能得到确认。
患者胡某,女,2岁10月,因“运动发育落后1年余,加重4月”入院。
患者1岁2月龄不能独立行走,身高76.5cm,语言发育正常。2岁后身高无变化,同1岁时身高,仍不能独立行走,2岁6月行走较前倒退,牵扶下不能行走,伴四肢持续性抖动,睡眠后消失。曾就诊于当地医院,给予生长激素治疗3个月后,身高增长至78.5厘米,但不能走路,目前只能坐。经常发出叹息声,很少哭泣,为进一步治疗就诊广东三九脑科医院。
查体:神清,坐位,声音弱小,身材矮小肥胖,间断性叹气,双瞳孔等大等圆,瞳孔约3mm,直接间接对光反射灵敏,未见角膜K-F环,双侧眼球各方向活动自如,双侧额纹、鼻唇沟对称,口角无歪斜,双侧听力粗测正常。伸舌居中,四肢自主活动可,双上肢上抬受限。既往史及个人史:无特殊,家族中否认类似病人。
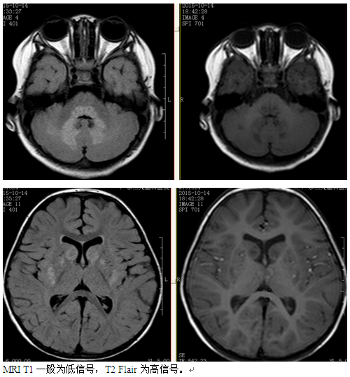
辅助检查:2015年10月13日头颅MRI平扫检查报告:双侧基底节尾状核、豆状核、中脑、双侧丘脑、四脑室周围及小脑半球齿状核周围多发病灶,考虑代谢性疾病可能,以肝豆状核变性可能性大,建议实验室进一步检查。视频脑电图报告:弥漫性慢波增多。线粒体疾病核基因PANEL检测示:患者SURF1基因发现的复合杂合变异分别遗传自受检者父母,父母均为杂合子,符合常染色体隐性遗传方式。(详细见下图)



专家点评:Leigh综合征(Leigh syndrome,LS)是一种少见的、病因不明的遗传性疾病,包括常染色体隐性遗传,X连锁的隐性遗传和母系遗传。常可同时累及脑部和脊髓,故又称为亚急性坏死性脑脊髓炎。依据发病年龄可分为新生儿型、经典婴儿型及少年型,成人罕见。2-6岁起病,经数周或数月死亡。临床表现为渐进性肌张力下降,精神运动发育迟缓,共济失调,眼肌麻痹,吞咽困难,延髓下段受累则导致呼吸功能衰竭。血清乳酸及丙酮酸升高,脑脊液蛋白升高,脑电图见弥漫性慢波。在临床诊断中,可通过肌肉或脑部活检、生化、MR、基因检测来确诊。
临床诊断标准:1.呼吸节律异常和(或)脑干、颅神经麻痹体征,如眼球活动受累、眼震。2.锥体外系症状和(或)小脑病变,如不自主运动、共济失调等。3.MRI或CT示基底节和(或)脑干异常信号。4.智能运动发育迟滞、惊厥发作、血乳酸水平增高等。
影像学特点:侧苍白球及导水管周围病变,还可累计丘脑、齿状核、大脑、小脑白质、脊髓、脑皮质,为对称分布,早期肿胀,晚期萎缩。CT平扫为低密度影,一般无强化。MRI T1一般为低信号,T2flair为高信号。慢性期病变可吸收后遗留囊状软化灶,DWI急性扩散期受限,增强后一般强化,MRS显示Cho、Lac升高。
鉴别诊断:1.新生儿缺血缺氧性脑病:累及壳核背侧、丘脑外侧、脑干背侧及外侧裂周围实质,急性期呈T1WI及T2WI高信号。2.MELAS综合征:临床上以卒中样发作、癫痫为特征,影像学病变不对称,不按血管供血范围分布,DWI无信号增高。3.Wilson病:见于较大儿童,临床可见肝脏功能障碍及角膜K-F环,T1WI可见特征性基底核高信号。
治疗:本病无特效治疗,可试用低碳水化合物、高脂肪饮食及补充维生素B1、B2、烟酸、生物素、柠檬酸、脑活素、细胞色素C等治疗,但疗效不定。部分病人可长期口服碳酸氢钠可部分纠正乳酸酸中毒,从而延缓病情进展。本病预后极差,会突然死亡。

Copyright 2006-2026 广东三九脑科医院版权所有 粤ICP备11100995号 服务性质:非营利性网站 粤卫网审(2013)10号
粤公网安备 44011102002143号