http://www.999brain.com 李俏 时间:2016-05-17 来源:神经外一科 编辑:韦庆锋 阅读:46900
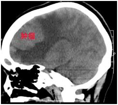
梁女士,44岁,某公司中层管理者,工作非常繁忙,正当她准备在工作上大展拳脚的时候,突如其来的头痛让她烦躁不安。由于每天加班到深夜,回家后倒头就睡,让她无暇关注自己的身体。因为头痛在休息时可以得到缓解,梁女士就没有在意,忙完生意后才抽出时间到医院进行身体检查。这一查不打紧,检查结果着实把梁女士吓丢了魂。原来梁女士的脑子里长了一个大瘤子,头痛就是因为瘤子压迫脑组织引起的。2015年10月开始出现发作性头痛,持续2月,为求进一步治疗入住我院,入院诊断:矢状窦旁脑膜瘤。体查未发现明显阳性体征,排除手术禁忌症,予以手术切除肿瘤组织,头痛症状缓解,术后病理检查提示:混合型脑膜瘤(I型)。

【专家点评】
矢状窦旁脑膜瘤是临床上最常见的脑膜瘤类型之一,占颅内脑膜瘤17%~20%。国内外不同研究机构报道的矢状窦旁脑膜瘤的发生率相差较多,原因是有些作者将靠近上矢状窦的一部分大脑镰旁和大脑凸面脑膜瘤也归于矢状窦旁脑膜瘤。矢状窦旁脑膜瘤在上矢状窦的不同部位上发生率也尽不相同,其中以矢状窦的1/3和中1/3最为多见。中国的报道中位于上矢状窦前1/3的肿瘤占46.6%,中1/3占35.4%后1/3占18.0%。发病高峰年龄在31~50岁,男性患者略多于女性。

相关知识
头痛是临床上最常见的症状之一,涉及到各个科室,尤其是在神经系统疾病中多见,其病因十分复杂。发病率高,人群中几乎90%的人一生中都有头痛发作,其实头痛是一种症状,而不是一种疾病,是某种疾病诱发的身体外在表现。头痛发生时,首先确定是颅内疾病还是颅外疾病。确定是颅内疾病,则要确定具体是哪一种疾病。一时难以确定的,应先排除较为严重的疾病:脑出血、蛛网膜下腔出血、大面积脑梗死、脑炎、脑膜炎(以上疾病头颅CT或MRI均可确诊)。尔后再考虑是不是由以下几种常见病所致的:偏头痛、紧张性头痛、丛集性头痛、神经性头痛、上呼吸道感染等。颅外疾病则要考虑是中毒还是全身感染。若是中毒,要诊断是何种中毒;若是全身感染,则要诊断是何部位感染。所以如果发生头痛以后,建议先检查清楚后,再做进一步的治疗,以免担勿病情。

Copyright 2006-2026 广东三九脑科医院版权所有 粤ICP备11100995号 服务性质:非营利性网站 粤卫网审(2013)10号
粤公网安备 44011102002143号