http://www.999brain.com 时间:2016-05-23 来源:神经外一科 编辑:韦庆锋 阅读:41130
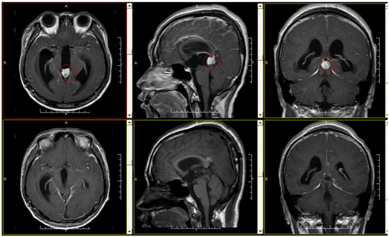
21岁,青葱的岁月,正是意气风发,朝气蓬勃的年龄,可在大学生小方身上,我们看到的更多的是人生的酸苦。2016年3月的一天,持续头痛和全身抽搐发作,突然闯进了这个小伙子的美好生活。发病后家人送小方到当地医院就诊,头颅MR提示:“1.松果体区占位性病变,拟为肿瘤性病变,生殖细胞瘤?松果体细胞瘤?2.梗阻性脑积水;3.可疑乙状窦及横窦血栓形成”。为求进一步治疗,来我院就诊。入院考虑“松果体区占位性病变,梗阻性脑积水,症状性癫痫”,完善术前准备后予行手术切除肿瘤,术后症状缓解,癫痫无发作。

专家点评
松果体区肿瘤的手术治疗目前仍是神经外科的一大挑战。该区域位置深在,毗邻重要血管神经,特别是大脑深部静脉对手术入路起着明显的阻碍作用,而损伤静脉往往会导致术后严重的并发症及术后反应,导致手术失败。目前Poppen 入路是处理松果体区肿瘤最为常用的手术入路。

Copyright 2006-2026 广东三九脑科医院版权所有 粤ICP备11100995号 服务性质:非营利性网站 粤卫网审(2013)10号
粤公网安备 44011102002143号