http://www.999brain.com 时间:2016-06-08 来源:神经外二科 编辑:韦庆锋 阅读:36814
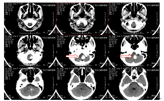
苏女士,33岁,因“头晕半年”入院。半年前无明显诱因出现头晕,程度中等,以头仰位后明显,无头痛、恶心、呕吐及肢体抽搐,由于不影响正常生活,一直未予特别处理,近期出现头晕较前略加重,遂到当地医院就诊,行头颅CT提示脑干占位性病变,未予处理。现为求进一步诊治,来我院就诊,门诊拟“枕骨大孔区占位性病变”收治入院。病后精神、睡眠良好,胃纳正常,大小便正常。头颅MR提示脑干占位性病变。

诊断:脑干占位性病变,考虑低级别胶质瘤可能性大
治疗:入院后完善术前准备,于2016-3-2行脑干占位性病变切除术,术中见脑干延髓区肿瘤,向左外侧生长,血供一般,边界欠清,大部分钙化明显。给予镜下大部分切除肿瘤,术后给予抗炎、营养神经等对症治疗,予预防感染、止血、营养神经等康复治疗,术后病理检查提示:毛细胞星形细胞瘤(WHOI级)。

经治疗,患者头晕明显改善,无恶心、呕吐,无肢体抽搐,无发热等不适,查体:神志清醒,正确对答,双侧瞳孔3mm,光反射灵敏,双侧咽反射略减退,咳嗽反射稍差,心肺腹未见明显异常,四肢活动良好。患者术后存在轻微后组颅神经症状,并未出现严重颅神经功能损害,经综合康复治疗后总体恢复较好。

专家点评
脑干肿瘤早期一般不易被发现,尤其是低级别胶质瘤或海绵状血管瘤未出血时期,一般不引起脑干神经核团或颅神经功能损害表现,故大部分病人早期会被漏诊。一旦发现,最好手术治疗,以明确病理为主要目的,同时在术中电生理监测、术中导航引导下尽可能多切除肿瘤,注意操作仔细,避开颅神经、脑干神经核团,尽可能减少由于颅神经损害带来术后并发症。该病例主要特点为病变强化不明显,并且钙化为主,术前不存在明显颅神经损害症状,术中行肿瘤基本切除,术后患者恢复比较理想,病理提示I级胶质瘤,预后良好。

Copyright 2006-2026 广东三九脑科医院版权所有 粤ICP备11100995号 服务性质:非营利性网站 粤卫网审(2013)10号
粤公网安备 44011102002143号