http://www.999brain.com 癫痫外科 华刚 谭红平 时间:2016-06-15 编辑:lsw 阅读:9738
立体定向脑电图(SEEG),是一种借助外科微创的方法将电极植入到大脑不同的部位,在电极点所在位置记录患者发作间期(即无发作的时候)及发作期脑电图的方法,以精确定位癫痫病灶。癫痫患者中有20-30%患者为药物难治性癫痫,需要借助外科手术的方法来达到治愈或改善的目的。而这种类型的癫痫,如要达到治愈的目标,其中一个关键步骤就依赖于癫痫病灶的精确定位。除了磁共振、PET、SPECT等影像学检查之外,脑电图检查在癫痫的定位诊断有着不可或缺的地位。
【典型案例】
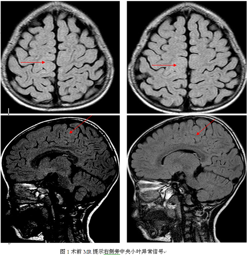
患者陈某,女,3岁,右利手,因发作性肢体抽搐2年余入院。患者入院前每天发作20余次,主要表现为左下肢强直阵挛,曾服用多种抗癫痫药物治疗,发作无任何减轻并出现左下肢肌力进行性下降,符合药物难治性癫痫。入院时查体:左下肢肌力二级,站立不能。入院后行视频脑电图提示:异常脑电图III(清醒/睡眠):间歇期:1、阵发性慢波增多,弥漫性;2、癫痫样放电,弥漫性,中线区著;发作期:临床:左下肢强直→BATS(左著)→左下肢强直-阵挛;EEG:发作型,中线区著;头颅MRI检查提示右侧旁中央小叶异常信号,病灶环绕中央沟生长,考虑局灶性皮层发育不良(见图1)。PET:右侧旁中央小叶、中央区低代谢(见图2)。入院诊断:1、症状性癫痫;2、右侧旁中央小叶异常信号。
经我院癫痫中心讨论认为患者致痫区可能位于右侧旁中央小叶,因其位于重要功能区且界限不清,建议行颅内电极植入明确致痫区以及通过皮层电刺激明确功能区,遂在全麻下行右侧额顶中央区脑深部电极置入术,手术过程顺利,术后行颅内电极视频脑电图监测提示间歇期:癫痫样放电,多脑区性,Y’4-9、N’4-9著;发作期:临床:左下肢强直→左下肢强直-阵挛;EEG:发作型,Y’4-9、N’4-9(其中Y’:中央后沟—中央后回—中央旁小叶后部(缘支前壁);N’:中央后回—中央沟—中央前回—中央旁小叶(病变)见图3、图4),术后电刺激结果见图5.根据监测结果和电刺激结果确定切除范围(如图6)。并在全麻下行右侧旁中央小叶区癫痫灶切除术,术中结合电生理监测和导航确定中央沟、中央前沟及中央后沟等重要解剖结构,按术前切除计划切除右侧旁中央小叶(见7),术后病理检查提示为皮质发育不良(FCD IIa)。术后查体左侧肢体肌力二级,予以加强康复等治疗,术后第四周,患者左侧肢体肌力肌张力恢复正常,无癫痫发作,现已恢复出院。







专家点评:
中央区癫痫是指发作起源于中央区皮质的癫痫,发作起始症状常表现为局部肢体运动、感觉异常的简单部分性发作,具体为一侧肢体阵挛或强直阵挛发作等,发作后常遗留一侧肢体偏瘫,严重时甚至出现部分性癫痫持续状态,影响患者的肢体功能和生活质量,所以精确定位致痫区和功能区,确定两者之间的关系显得尤为重要。SEEG在儿童中央区癫痫方面具有优势,它一方面可以精确定位致痫区,另一方面还可同时行脑功能Mapping,从而为中央区的癫痫手术保驾护航,达到在保护脑功能的情况下尽可能彻底切除致痫灶的目标,提高癫痫手术的成功率,改善患者的神经智能发育。另外SEEG相对于传统硬膜下电极来讲,植入电极无需开颅,具有微创,耐受性好等优点,还可以探及硬膜下电极无法探及的脑结构,比如岛叶和扣带回等脑深部结构,尤其适用于儿童癫痫患者。

上一篇:鞍区巨大垂体瘤
Copyright 2006-2026 广东三九脑科医院版权所有 粤ICP备11100995号 服务性质:非营利性网站 粤卫网审(2013)10号
粤公网安备 44011102002143号