http://www.999brain.com 时间:2016-06-22 来源:神经内二科 编辑:YSS 阅读:42960
颈动脉狭窄是指颈动脉由于动脉粥样硬化等原因导致狭窄出现脑局部供血障碍,导致供血区局限性神经功能缺失症状。60%以上的脑梗死是由于颈动脉狭窄造成,严重的脑梗死可导致患者残疾甚至死亡。权威研究表明,颈动脉狭窄<50%首选ASA(抗血小板+强化他汀+降压)内科强化他汀抗血小板治疗。症状性>50%,无症状>70%的颈动脉狭窄,CEA(颈动脉内膜剥脱术)/CAS(颈动脉支架血管成形术)都是可行的。药物、CAS、CEA是治疗颈动脉狭窄的三大法宝,其中药物治疗至关重要。主张各种方法取长补短,个性化治疗,让患者最大限度受益!
【典型案例一】
郭某,男,44岁,因口角左歪、言语不清3个月入院治疗。之前在东莞市某医院检查头颅MRA,提示左侧颈内动脉狭窄、闭塞,左侧大脑中动脉远段狭窄、部分闭塞(图一)。
两日后,患者转入广东三九脑科医院,入院时查体:血压147/96mmhg,意识清楚,不完全运动性失语,口角左歪,肌张力正常。DSA影像显示:左侧颈内动脉颈段重度狭窄,左侧大脑中动脉经后交通代偿,其余血管未见明显异常(图二)。
治疗方案:抗血小板+强化他汀+降压(ASA)。
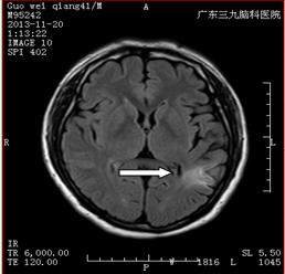
3个月后,患者复查头颅MRI,提示左侧颞后顶叶陈旧性脑梗塞,可能合并有层状坏死(图三),头颈部CTA检查未见异常(图四)。

治疗前MRA(图一) 治疗前DSA(图二)

(图三)

治疗后CTA(图四)
【典型案例二】
谭某,男,64岁,因反复头晕、感觉天旋地转1个多月至广东三九脑科医院治疗。
入院后,医生为其完善了所有检查,头颅MRI提示双侧小脑半球、桥脑右侧多发软化灶形成伴胶质增生、局限性脑萎缩,考虑脑梗塞后遗改变(图一);PWI-ASL提示双侧小脑半球、桥脑右侧低灌注(图二);DSA检查显示右侧颈内动脉起始部重度狭窄、狭窄程度大于90%,长 约5mm;2.右侧椎动脉开口中度狭窄,程度约45%,长约3mm,其余脑血管未见明显异常(图三)。
治疗方案:颈内动脉狭窄支架置入术(CAS)。
医生为患者实施右侧颈内动脉狭窄支架置入术治疗(CAS),术后脑DSA显示:造影后狭窄处明显改善,颅内血管供血有改善(图四)。

术前MRI(图一) 术前ASL(图二)

术前DSA(图三) 术后DSA(图四)
以上患者治疗后均意识清楚,肢体活动好,健康回归社会。

上一篇:反复口角抽搐查因
Copyright 2006-2026 广东三九脑科医院版权所有 粤ICP备11100995号 服务性质:非营利性网站 粤卫网审(2013)10号
粤公网安备 44011102002143号