http://www.999brain.com 脑血管病外科诊疗中心 周立云 时间:2016-07-08 编辑:lsw 阅读:46142
颅内多发动脉瘤是指颅内同时存在2个或2个以上动脉瘤,其病死率和致残率比单发性动脉瘤要高的多。多发性动脉瘤的治疗存在手术风险大、要求条件高、术后并发症多等特点。随着脑血管DSA的广泛应用,颅内多发动脉瘤的诊断率逐渐增加。
【典型案例】
患者冼某,女,64岁,因“突发头痛伴恶心呕吐2天余”于2015年5月26日入院。
入院情况:患者2天前无明显诱因突发剧烈头痛伴有间断恶心呕吐,急诊当地医院,行头颅CT:蛛网膜下腔出血。给予止血、脱水、补液等药物后病情好转。为进一步治疗到广东三九脑科医院。
入院诊断:颅内动脉瘤破裂伴蛛网膜下腔出血。
诊疗经过:完善相关检查,于5月30日全麻下行右侧后交通动脉瘤+右侧小脑后下动脉瘤栓塞术,术后给予抗炎、抗凝、营养神经、改善微循环、维持水电解质平衡等对症处理。经治疗后于6月16日康复出院。

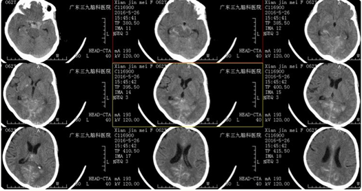
Female,62Y,ASAH
CT示:鞍上池、纵裂池、双侧小脑幕及幕上池内高密度影

CTA提示:1、右侧小脑后下动脉起始部动脉瘤 2、右侧后交通动脉瘤

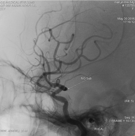
造影示:三型弓,升主动脉与主动脉弓连接处迂曲角度大

常规路径完成造影、栓塞难度大,选择经桡动脉路入,右侧锁骨下动脉造影

右椎动脉造影:右侧小脑后下动脉瘤,大小约2.7×3.0mm;瘤颈口与右侧小脑后下动脉开口关系密切

右侧颈内动脉造影:右侧后交通动脉瘤,大小约2.0×2.5mm;

栓塞后动脉瘤不显影,瘤颈口与动脉开口处稍残留,小脑后下动脉显影通畅

Livs(212517)支架辅助栓塞后交通动脉瘤,动脉瘤不显影

栓塞后不减影,弹簧圈形态符合动脉瘤形态

支架完全打开,与血管贴壁良好,覆盖瘤颈口满意
颅内多发动脉瘤属于颅内复杂动脉瘤的一种类型,其治疗是目前神经外科的难点。本例患者经一个路入成功处理多个动脉瘤,其创伤小、恢复快是血管内治疗的一大优点,患者术后恢复良好,对于动脉瘤病人治疗方案选择其优缺点要有详尽掌握,需对每一例复杂性动脉瘤采取个体化治疗。

Copyright 2006-2026 广东三九脑科医院版权所有 粤ICP备11100995号 服务性质:非营利性网站 粤卫网审(2013)10号
粤公网安备 44011102002143号