http://www.999brain.com 时间:2016-08-09 来源:神经内二科、脑血管介入诊疗中心 编辑:lsw 阅读:68716
【危急】
救治脑梗死
患者的黄金时间只有4.5小时
急性脑梗死是指脑供血突然中断后导致的脑组织坏死。通常主要是由于供应脑部血液的动脉出现粥样硬化和血栓形成,使管腔狭窄甚至闭塞,导致局灶性急性脑供血不足而发病。在神经内科临床工作中,脑血管病最为常见,也是危及广大人民群众健康的重要杀手。脑梗死的治疗就是一场与时间的赛跑,患者从发病到开始溶栓的“时间窗”原则上不能超过4.5小时。过了这个时间,急性突发的脑梗死就不能采用“静脉溶栓”的办法治疗了。很多患者因为延误时间失去了治疗的最佳办法,从而导致过高的致死、致残率。
【普及】
正确识别脑梗死
避免错过最佳治疗时间
脑梗死很常见,那作为患者及家属,如何识别并尽早进行治疗?
脑梗死可发生于任何年龄,临床以50-70岁年龄的患者居多。但近些年来,发病有逐步年轻化趋势。急性脑栓塞起病大多急骤,无明显的前驱症状,表现为突发意识丧失或模糊,肢体偏瘫、失语等,大面积脑栓塞可发生严重脑水肿、颅内压增高,最重可导致脑疝和昏迷,死亡率及后遗症发生率极高。因此,对于患者及家属来说,一方面要求症状出现以后尽快到具备溶栓条件的医院就诊;同时还要求患者及家属认识到溶栓的重要性,积极配合医生进行溶栓治疗,最大限度地节约时间。
【治疗】
目前认为,在脑梗死的超早期(指发病4.5小时以内)应积极给予动静脉溶栓治疗,但错过这4.5小时的患者可以采用以下血管内治疗:如动脉溶栓、机械碎栓、支架取栓、球囊扩张血管成型术等措施,能最大程度地降低患者的复发率、致残率及病死率。
如患者存在严重的脑血管狭窄或闭塞情况,在条件允许的医院可行DSA再通、机械取栓或支架成形术。
支架取栓术是在DSA血管造影下,采用介入治疗微导管技术,沿下肢或上肢动脉通道到达颅内动脉内堵塞的局部,将取栓装置“抓捕”堵住血管的血栓,能迅速恢复血管的通畅。手术不需切开开颅,创伤小,血管、皮肤创口直径仅几毫米,取栓血管的再通率高,并可有效地预防栓塞部位的再狭窄。
【案例】
患者张某,女,39岁,主诉:突发不能言语、右侧肢体无力5小时。患者入院时间是当日凌晨2点。查体:意识清楚,运动性失语,右上肢肌力1-2级,右下肢3级-,肌张力高,右假Babinski征、Chaddock征均阳性。NIHSS评分8分。既往病史:8-9年前发现“风湿性心脏病”,曾行二尖瓣置换术;
诊断:1、脑栓塞(急性);2、风湿性心脏病,二尖瓣瓣膜置换术后。
检查、治疗:
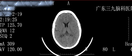
2:19行头颅CT平扫未见异常。(图一)
4:17 DSA脑血管造影示基底动脉闭塞。(图二)
5:08进行基底动脉再通+支架取栓术。(图三)
8:20(次日)复查头颅CT平扫未见异常。(图四)
预后:患者意识清楚,言语流利,右侧肢体活动可,健康回归社会。
图一:治疗前头颅CT
图二:治疗前DSA示基底动脉闭塞

图三:治疗后DSA示基底动脉再通

图四:治疗后头颅CT

取出来的血栓

上一篇:睡眠对身体的影响
Copyright 2006-2026 广东三九脑科医院版权所有 粤ICP备11100995号 服务性质:非营利性网站 粤卫网审(2013)10号
粤公网安备 44011102002143号