http://www.999brain.com 时间:2016-08-31 来源:神经外六科 编辑:YSS 阅读:50509
髓母细胞瘤:Bailey与Cushing于1925年首先报道,是好发于儿童的颅内恶性肿瘤,是中枢神经系统恶性程度很高的神经上皮肿瘤。它生长迅速,有沿脑脊液播散转移的倾向。有人认为其发生是由于原始髓样上皮未继续分化的结果。这种起源于胚胎残余细胞的肿瘤可发生在脑组织的任何部位,但绝大多数生长在第四脑室顶之上的小脑蚓部。
【病例介绍】
阳阳(化名),今年6岁零6个月,1个多月前,他开始出现呕吐,并伴随走路不稳,父母以为他患了感冒,没有放在心上。最近这段时间,阳阳呕吐的症状一直在加重,父母带他到当地医院检查颅脑CT,结果提示:小脑蚓部占位,梗阻性脑积水。为了进一步及专业诊治,阳阳的父母带他来到广东三九脑科医院。
入院的当天,微侵袭神经外科的吴杰主任为阳阳完善了所有的检查及术前准备,并急诊实施了右侧脑室钻孔外引流术。术后阳阳复查,颅脑MRI提示:1、小脑蚓部占位性病变,考虑髓母细胞瘤可能性大(如图1);2、幕上梗阻性脑积水,并脑室周围间质性水肿(如图2);全脊髓MRI提示:胸腰段软脑膜线样高信号影,考虑肿瘤种植转移(如图3)。
几日后,阳阳在全麻下接受了“小脑蚓部占位病变切除术;”手术中,吴杰主任分块切除肿瘤,肿瘤上部边界比较清楚,与脑干背侧粘连,肿瘤下部与小脑侧隐窝部及延髓背侧界线不清,有移行。吴杰主任将肿瘤全部切除,大小约4.0*5.0*100px(如图4),术后病理回示:髓母细胞瘤(WHO IV级)(如图5)。术后,阳阳恢复良好,没有出现明显神经功能缺失的症状并转至肿瘤科行放化疗。

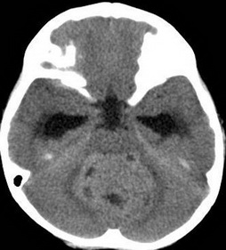
图1:小脑蚓部占位病变,CT呈等或略高密度影;脑室系统扩张;

图2:MRI提示小脑蚓部占位,不均匀强化;

图3,脊髓MR可见线样强化影,考虑脊髓种植转移;

图4,术后MR提示肿瘤切除完全,四脑室通常;

图5,术后病理回示:考虑随母细胞瘤 (WHO IV 级)
广东三九脑科医院吴杰主任介绍:髓母细胞瘤占儿童颅内肿瘤的20%~35%,占颅内神经上皮性肿瘤的3.7%,占颅内肿瘤的1.5%。儿童约占80%,发病年龄高峰在10岁以前,15岁以下儿童患者中平均发病年龄为7.3~9.1岁,成人患者(>15岁)中以26~30岁多见,占成人患者的43%。男性多见,男女之比在1.5∶1~2∶1
好发部位:主要发生在小脑蚓部,尤其是后髓帆,也可发生在前髓帆或小脑半球。生长于一侧小脑半球内(大龄组)。肿瘤并充满第四脑室多数对第四脑室底形成压迫仅少数肿瘤侵入第四脑室底部。肿瘤向上发展可梗阻导水管,极少数病例可突入导水管而达第三脑室后部。肿瘤向下可充满枕大池少数经枕大孔延伸进入椎管。
病理:大体观察:髓母细胞瘤多为实质性,呈灰紫色或粉红色质地较脆软呈浸润性生长,多数有假包膜瘤内有时可有坏死和出血有钙化或囊变者罕见。(HE染色,高倍)典型的:肿瘤细胞包浆极少,大多数呈裸核细胞,大小一致,核深染,细胞核呈花冠状包绕细胞突起,形成菊花形结构。
临床表现:髓母细胞瘤的病程较短,一般病程4~5个月。
颅内压增高表现:1、梗阻性脑积水导致颅内压增高。2、呕吐最为多见可为早期的惟一临床表现。除颅内压增高外,肿瘤直接刺激第四脑室底的迷走神经核也是产生呕吐的重要原因之一。呕吐多见于早晨同时常伴有过度换气。3、视盘水肿儿童较成人为少,(通过颅缝分离得以代偿),在成人几乎皆有视盘水肿。
小脑损害表现:1、主要为小脑蚓部损害引起的躯干性共济失调,表现步态蹒跚,步行足间距增宽,站坐不稳及站立摇晃,Romberg征阳性。2、肿瘤侵犯小脑上蚓部时向前倾倒,下蚓部则向后倾倒。下蚓部者常见。3、肿瘤偏一侧小脑半球,表现为患侧肢体共济运动障碍。原发于小脑半球者可表现小脑性语言。眼肌共济失调多为水平性眼震。
其它表现:(1)复视:颅内压增高导致双侧展神经不全麻痹,表现为双眼球内斜视,外展运动受限。出现单侧展神经麻痹伴同侧周围性面瘫者常提示肿瘤侵犯第四脑室底的面神经丘。 (2)面瘫:肿瘤侵犯第四脑室底面神经丘,较为少见。 (3)强迫头位:当肿瘤或下疝的小脑扁桃体深入椎管内时,刺激及压迫颈神经根造成病人的保护性位置反应。 (4)头颅增大及破壶音McCewen征:多见于年龄较小的病儿,因颅内压增高,颅缝分离所致。 (5)锥体束征:肿瘤向前压迫推挤脑干,致以双下肢出现病理反射较为多见。 (6)呛咳:肿瘤压迫脑干和(或)第Ⅸ、Ⅹ对脑神经时出现,临床检查呈咽反射减弱或消失。 (7)小脑危象:由于脑脊液循环障碍小脑扁桃体下疝或肿瘤直接对脑干压迫的加重造成意识丧失、呼吸变慢和血压升高伴有双侧病理反射阳性,甚至去大脑强直等。可在短时间内呼吸迅速停止而死亡。 (8)蛛网膜下腔出血:髓母细胞瘤的肿瘤出血是儿童非创伤性后颅凹蛛网膜下腔出血的主要出血来源之一。
脑瘤的转移症状 :1、肿瘤转移是髓母细胞瘤的主要特征。2、肿瘤细胞脱落后通过脑脊液循环沿蛛网膜下腔发生播散性种植,脊髓尤其马尾神经、前颅凹底是常见受累部位,少数转移至大脑各部位,极少数可因血行播散发生远隔转移,亦可随分流而发生腹腔种植。3、转移在术前术后均可发生,但术后明显增多,远隔转移的常见部位是肺和骨骼,也有报道发生于伤口局部的转移病灶。
辅助检查:
CT检查:可见小脑蚓部或四室内均匀一致的等密度或稍高密度占位,多与四脑室底有分界,将脑干向前推移。肿瘤周边环绕有薄的低密度水肿带,明显均匀强化,肿瘤钙化囊变少见。
MRI 表现:肿瘤实质部分为长T1长T2信号,无特点。肿瘤一般信号强度均匀,发生坏死或囊变时,可见到瘤内更长T1、更长T2的病灶区。增强扫描,实质部分呈显著异常增强,而囊变或坏死区无强化。MRI矢状位图像上可见肿瘤与第四脑室底间有一极细长的低信号分隔带。
诊断:儿童尤其是男孩,出现不明原因的头痛呕吐继而步态不稳、眼球震颤、复视首先应考虑髓母细胞瘤的可能。髓母细胞瘤易播散转移,如果后颅凹肿瘤有脑室内播散则考虑髓母细胞瘤。
治疗原则:髓母细胞瘤的治疗主要是手术切除与术后放射治疗,部分病例可辅以化疗。
由于髓母细胞瘤生长迅速,细胞分裂指数较高并且位置接近脑室和蛛网膜下腔,存在许多有利于放疗的条件,初发的髓母细胞瘤对放疗敏感,但为防止肿瘤的脱落种植转移,通常要做全脑脊髓的放射治疗。
预后:年龄愈小,预后愈差。儿童患者的5年生存率明显低于成人患者,而10年生存率则较为接近,无显著差别。肿瘤的手术切除程度直接影响患者预后。局部复发时间往往在治疗后2~4年时发生,对于复发髓母细胞瘤手术及放疗效果均不如首发肿瘤。复发后除个别患者可生存5年以上外一般不超过2年。手术加放疗后第一个5年内应每年复查1次CT或MRI这样可早期发现复发或转移的病例。

Copyright 2006-2026 广东三九脑科医院版权所有 粤ICP备11100995号 服务性质:非营利性网站 粤卫网审(2013)10号
粤公网安备 44011102002143号