http://www.999brain.com 时间:2016-09-07 编辑:廖紫阳 阅读:39791
老刘家有一位可爱的宝宝,一直都是家里人的掌上明珠,可是,让老刘一家人没想到的是病魔却找上了这个可爱的小宝贝。
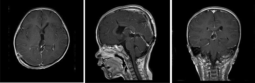
小刘在4月份的某一天上午上学时突然出现头疼,老刘赶紧带着孩子到当地医院就诊,给予对症处理,可是小刘还是感觉不舒服,结果没几天,小刘感觉头疼加重伴有呕吐,慢慢的变得意识模糊,老刘紧急送往当地儿童医院就诊,医生通过CT检查发现小刘为松果体及三脑室占位病变,梗阻性脑积水,给予脱水,降颅压,紧急行右侧侧脑室钻孔外引流术,术程顺利,术后给予相应治疗后小刘慢慢的神志清醒,头疼症状缓解,未再出现呕吐,老刘一家为了让小刘更好得康复,于是转院到广东三九脑科医院神经外七科进行治疗,神经外七科吾太华主任在详细了解小刘情况后,根据复查颅脑CT提示松果体及三脑室内占位病变,脑积水脑室外引流术后改变,遂以“松果体及三脑室占位,梗阻性脑积水”收治入院,入院后完善相关检查,进一步明确诊断,颅脑MR检查提示为松果体及三脑室内占位病变,考虑生殖性肿瘤,以成熟型畸胎瘤可能性大,幕上梗阻性脑积水脑室外引流术后改变,经积极术前准备,小刘在全麻下性松果体及三脑室内占位病变切除术,术程顺利,术后病理为松果体及三脑室不成熟畸胎瘤 WHO I级,复查颅脑MR提示原病变已切除,颅脑CT提示脑积水已缓解。
【专家点评】
血管神经外科吾太华主任介绍道:松果体畸胎瘤是一种罕见的颅内肿瘤,发病率为0.5%-2%,不成熟畸胎瘤更为罕见,好发于儿童和青年,男性比例比女性多,颅内畸胎瘤好发于中线部位,以松果体区最多,其次为蝶鞍区,该肿瘤多阻塞中脑导水管造成梗阻性脑积水,病人出现头疼,呕吐等情况,累及上下丘后可出现眼球运动障碍,多数为上视不能,即典型的Parinaud综合症,松果体周围结构复杂,功能重要,并有重要血管通过,手术难度大,风险高,我科通过Poppen入路,依托精准显微神经外科技术,成功切除松果体及三脑室内不成熟畸胎瘤,术中对上下丘,松果体及丘脑,中脑保护良好,术后患儿康复出院。

术前影像检查

术后影像检查

Copyright 2006-2026 广东三九脑科医院版权所有 粤ICP备11100995号 服务性质:非营利性网站 粤卫网审(2013)10号
粤公网安备 44011102002143号