http://www.999brain.com 时间:2016-09-21 来源:神经外六科 编辑:YSS 阅读:18341
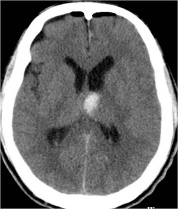
3个月前,某42岁患者无明显诱因出现头痛、头晕伴恶心呕吐,意识逐渐下降,在当地医院检查头部CT,提示:左侧脑室内出血,如图1;医生为其急诊实施“双侧脑室钻孔外引流术”。
为求进一步治疗,患者转入广东三九脑科医院;头部CTA提示:1.左侧脑室出血,未见畸形血管影;2.考虑烟雾病;3.右侧椎动脉明显细小,考虑发育因素。医生给予其积极治疗后,恢复良好,也没有神经功能缺失,之后办理出院。最近,患者为了进一步治疗烟雾病再次入院。

图1,左侧脑室内出血(3个月前)
入院后,患者完善了所有检查;TCD提示:左侧大脑中动脉中度狭窄;右侧大脑中动脉血流减慢;左侧大脑前动脉及大脑后动脉血流速度增快;右侧大脑后动脉血流速度减慢。颅脑MRI-ASL提示:左侧额顶叶灌注低(如图2)。DSA影像显示:烟雾病(如图3)双侧颈内动脉末端闭塞,颅底可见烟雾状血管生成部分代偿供血。

图2,额顶区低灌注

图3,术前DSA可见颈内动脉末端闭塞
外六科吴杰主任、闫学强主治医生对患者进行了综合评估:患者3个月前为左侧脑室出血,且目前左侧半球供血不足比右侧显著,医生拟先实施左侧脑内血管重建术,二期实施右侧脑内血管重建术。几日后,患者在全麻下接受左侧颞浅动脉-大脑中动脉搭桥术,医生采取左侧额颞直切口,长约175px,创伤小(术中如图4);术中医生利用荧光造影,可清晰见到吻合血管通畅(如图5)。整个手术过程顺利,患者术后恢复良好,复查DSA,吻合血管通畅,颅内血供明显改善(如图6),并无神经功能缺失。目前患者已痊愈出院。

图4,术中左侧颞浅动脉与大脑中动脉进行血管吻合

图5,术中荧光造影显示吻合血管通畅良好

图6,术后复查DSA,吻合血管通畅,颅内供血改善

Copyright 2006-2026 广东三九脑科医院版权所有 粤ICP备11100995号 服务性质:非营利性网站 粤卫网审(2013)10号
粤公网安备 44011102002143号