http://www.999brain.com 癫痫中心 费凌霞 陈俊喜 时间:2016-10-19 编辑:lsw 阅读:21686
黄某,男,21岁,右利手。
患者17岁开始出现发作性心慌,右耳鸣(翁翁声),同时有右上肢麻木感,数秒后继之出现意识障碍,呼之不应,嘴角歪向一侧,双拳紧握,伴有四肢抽搐、流涎,症状持续1-2分钟后自行缓解。此后反复出现发作,每月5-6次。听音乐时容易出现发作。18岁开始使用得理多 0.2 bid治疗至今,效果不佳。
患者系足月顺产,起病后语言表达能力、组词能力较前有下降。查体:反应力,计算能力明显下降。余未见明显神经系统定位体征。
入院后完成相关检查,VEEG::间歇期:癫痫样放电,弥漫性,左半球著;发作期:临床:先兆(听觉、植物神经)→植物神经症状→右面部强直-阵挛→全面性强直-阵挛发作 ;发作期脑电图无侧向性。头颅MR未见明确异常。头颅PET:左侧颞横回、左侧岛叶低代谢,右侧颞盖低代谢。
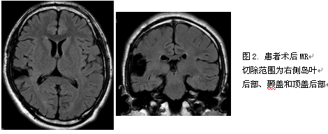
科内讨论后结果:考虑为岛叶癫痫可能性大,以岛叶后部为重点,以左侧为著,需要立体定向脑电图(SEEG)植入,电极主要覆盖左侧岛叶、顶盖、颞盖,右侧岛叶少量电极以鉴别侧向性。SEEG共记录13次发作,发作症状学同前, 发作期脑电图提示右侧L’9-11电极驻点(颞上回后部-颞横回-岛后长回)放电迅速扩散至左侧对称的L电极(颞上回后部-颞横回-岛后长回),引起右侧的强直-阵挛发作。手术切除右侧岛叶后部、颞盖和顶盖后部,术后病理:符合局灶性皮质发育不良(Ib)。患者术后至今1年半无发作。
【讨论】
患者发作期症状学为右侧的强直阵挛,提示左侧大脑半球起始,似乎致痫灶定侧是有把握的。但定位存在困难,需要SEEG植入。因考虑到可能为岛叶的发作,而岛叶发作可能很快扩散到对侧,给予双侧岛叶的植入,但以左侧为主,右侧少量电极以鉴别。SEEG提示患者发作起始于右侧半球,与之前的预判有出入。为进一步明确右侧情况,在右侧进行了电极的补充植入,成功发现右侧岛叶后部、颞盖和顶盖的致痫灶,手术切除后至今未再出现发作。
为什么右侧的强直阵挛发作,发作起始也在右侧半球呢?原来,大脑白质的纤维连接非常丰富,有同侧半球之间前后的联系纤维,也有双侧半球之间的联系纤维,错综复杂。通过SEEG的分析发现,患者右侧岛叶后部起始后通过胼胝体立即传至左侧半球对等位置,产生临床症状。所以,面对这类MR阴性的患者,SEEG是探测致痫灶的强有力工具。



Copyright 2006-2026 广东三九脑科医院版权所有 粤ICP备11100995号 服务性质:非营利性网站 粤卫网审(2013)10号
粤公网安备 44011102002143号