http://www.999brain.com 时间:2016-10-30 来源:神经外六科 编辑:YSS 阅读:48873
黄女士,51岁,因记忆力下降半年,突发意识障碍12小时入院治疗。
半年前,黄女士无明显诱因出现记忆力下降,但由于无明显头痛、头晕及无视力障碍的问题,所以并未在意,也没有到医院诊治。入院前12小时,黄女士突发意识障碍,不能说话,也不能活动,伴随呕吐的情况,到当地医院检查颅脑CT,提示左侧额颞部占位,医生予以脱水、激素对症治疗后,家属将其转入广东三九脑科医院。
经查体,神经外六科吴杰主任诊断为:左侧蝶骨嵴占位性病变,考虑脑膜瘤可能性大。之后黄女士完善了相关检查,颅脑CT及CTA检查提示:左侧中颅窝底巨大占位病变,其内血管丰富,临近左侧大脑中动脉明显受压向上移位,考虑脑膜瘤;颅脑磁共振提示:左侧前中颅窝底巨大占位性病变,考虑脑膜瘤。介入栓塞提示:肿瘤主要由左侧脑膜中动脉额支、少量由左侧眼动脉脑膜支参与供血。
经家属同意后,医生决定栓塞肿瘤近端的供血动脉,并于当天行左侧中颅窝占位病变切除术;术中可见肿瘤灰红色,有假包膜,分块切除肿瘤;由于术前行介入栓塞,术中可见血供明显减少,且出血少,左侧大脑中动脉及左侧大脑前动脉被肿瘤压迫移位,医生给予保护后将肿瘤全切除。术后黄女士恢复顺利,已痊愈出院。病理结果显示:脑膜瘤,合体细胞型,WHO I级。



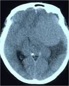
颅脑CT及CTA检查可见左侧额颞稍高密度占位,肿瘤血供丰富


DSA显示栓塞前肿瘤主要由左侧脑膜中动脉额支供血,栓塞后肿瘤血供明显减少



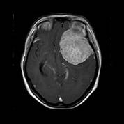
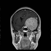
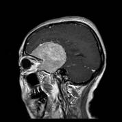
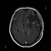
术前MRI可见左侧额颞巨大占位,增强均匀强化,考虑脑膜瘤



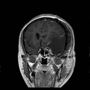
术后复查MRI可见肿瘤全切


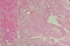
术后病理:“左侧蝶骨嵴”脑膜瘤,合体细胞型,WHO Ⅰ级
广东三九脑科医院神经外六科吴杰主任介绍:脑膜瘤是颅内常见的良性肿瘤,预后良好;最有效的治疗方法是手术切除;巨大蝶骨嵴脑膜瘤因常累及重要组织结构给手术全切除带来困难,因此控制术中出血、肿瘤分块切除及保护脑功能是完成肿瘤全切必顺遵循的三个基本原则。巨大脑膜瘤常有丰富的供血血管,条件允许术前可对供血行选择性颈外动脉分支栓塞术。脑膜瘤术前栓塞能够降低其血供,对于减少出血、降低并发症以及提高全切率具有重大意义。可达到所谓的“去血管化”,有效缩短手术时间。切除肿瘤过程中尽量先电凝阻断瘤蒂部供血动脉以减少术中出血,巨大脑膜瘤要完全暴露是很困难的,可在瘤蒂血管阻断后将肿瘤分块切除,这样既能全切肿瘤,又能避免脑组织的过度牵拉和加强对重要脑神经的保护。

Copyright 2006-2026 广东三九脑科医院版权所有 粤ICP备11100995号 服务性质:非营利性网站 粤卫网审(2013)10号
粤公网安备 44011102002143号