http://www.999brain.com 时间:2016-11-23 来源:神经内二科 编辑:YSS 阅读:7144
视神经脊髓炎(neuromyelitis optica,NMO)是视神经与脊髓同时或相继受累的急性或亚急性脱髓鞘病变。该病由Devic(1894)首次描述,其临床特征为急性或亚急性起病的单眼或双眼失明,在其前或其后数日或数周伴发横贯性或上升性脊髓炎,后来本病被称为Devic病或Devic综合征。
【典型病例】
黄先生,60岁,因视物模糊12天,加重3天入院治疗。
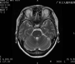
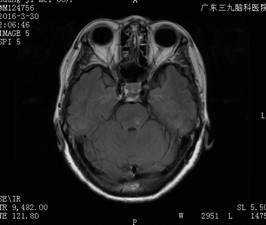
入院查体:左眼有光感,右眼视力:指距1500px;有脊髓炎病史。头颅MRI+增强提示:1.桥脑新增病变,结合病史,考虑视神经脊髓炎可能性大,医生建议补充全脊柱MRI平扫+增强扫描;2.左侧基底节区内囊后肢、右侧大脑脚多发小缺血灶同前;3.脑白质轻度变性同前(图一)。
之后完善脊柱MRI+增强扫描,结果显示:颈2-4水平脊髓内异常信号影范围较前缩小,T2WI序列信号较前减弱,新增斑点状异常强化影,桥脑新增病灶,原胸段脊髓病变已消失(对比两年前报告),结合病史,医生考虑视神经脊髓炎可能性大,并建议血清NMO-IgG检查,治疗后复查。
治疗方案:一线免疫治疗(激素、免疫球蛋白等)、营养神经、康复理疗等综合治疗。出院时患者意识视力恢复正常,肢体活动好,双侧视力正常,四肢肌张力正常,已正常回归社会。

图一

图一
神经内二科钟水生主任介绍:视神经脊髓炎的临床表现分为三大类:1.视神经症候,表现为眼痛、视力下降或失明、视野缺损。可单眼、双眼间隔或同时发病;2.脊髓症候,以横惯性脊髓损害较为多见,包括有脊髓相应病变平面以下传导束型深浅感觉、运动障碍及膀胱直肠功能障碍,神经根性疼痛、痛性痉挛,Lhermitte征,高颈段受累者可出现呼吸肌麻痹症候。3.脑干症候,包括:①顽固性呃逆、恶心、呕吐等延髓颈髓交界区受累症状,此表现在NMO 中相对特异,有些病例为唯一首发表现。②间脑病变可出现嗜睡、困倦、低钠血症等。
视神经脊髓炎的辅助检查有血清NMO-IgG、血清自身抗体、脑及脊髓MRI、EEG、脑脊液、神经眼科检查。治疗手段包括免疫治疗、对症、康复等综合治疗。
此病不具有传染性,有些轻症患者给予免疫治疗一疗程可能恢复,容易复发,复发型 NMO 的相关危险因素包括女性、发病年龄较晚、首次发作脊髓炎时运动障碍不重、伴发自身免疫疾病、疾病最初两年复发频率高。

Copyright 2006-2026 广东三九脑科医院版权所有 粤ICP备11100995号 服务性质:非营利性网站 粤卫网审(2013)10号
粤公网安备 44011102002143号