http://www.999brain.com 时间:2016-11-28 来源:神经内二科 编辑:YSS 阅读:9649
随着广东地区经济的发展,尤其是制鞋厂、塑料厂和玩具厂的增多,1,2-二氯乙烷中毒患者越来越多,这类患者被诊断称为:中毒性脑病,由毒物引起的中枢神经系统器质性病变。 1,2一二氯乙烷属高毒物质,易挥发。目前在我国主要用作有机溶剂和粘合剂。中毒时,主要经呼吸道吸收,其毒作用的靶器官主要是中枢神经系统。严重患者可出现脑疝,病死率高达30%。
神经内二科近几年来,抢救了几十例患者,发现了这几十个病例的共同诊断特点: 1、有明确的毒物接触史;2、头颅CT或MR片表现为白质受累,皮质相对回避,病灶呈对称性;3、影像表现病灶重,但患者症状相对轻,症状与影像相对分离。治疗上应给予维生素营养神经,抗帕金森治疗及高压氧等治疗。






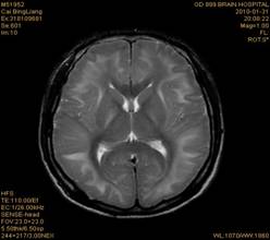
案例1 患者,男,33岁, 海洛因脑病的头颅MR。表现为双侧大脑后部皮层下白质、双侧内囊后肢、枕叶白质、胼胝体压部、中脑、桥脑、双侧小脑半球齿状核质及双侧桥臂多发对称性片状及斑片状长T1长T2异常信号影,FLAIR序列呈高信号,其中双侧内囊后肢表现为特异的“八字征”,双侧小脑半球齿状
核质表现为对称的“蝶翼征”,脑干病变呈“蟹钳征”及“中空征”。增强后双侧半卵圆中心、双侧枕叶白质及双侧小脑半球病变内或边缘中度强化影。给予患者抗炎、脱水、疏通血管及营养神经等药物治疗,一个月后痊愈出院。



案例2 患者,女,30岁,二氯乙烷中毒性脑病的头颅MR。表现为双侧大脑半球皮层下白质、双侧外囊、双侧苍白球及双侧小脑齿状核内广泛片状、斑片状长T1长T2异常信号影,FLAIR序列呈高信号,增强后病变未见明显强化。
给予抗炎、脱水、疏通血管及营养神经等药物治疗。经过40天的对症治疗,痊愈出院。


专家点评:
神经内二科钟水生主任介绍:近几年,内二科在中毒性脑病这方面积累了很丰富的经验,现病人范围普及全国各地。治疗急性中毒性脑病要注意以下二点:1、早期诊断,尽早使用甘露醇、激素治疗疗效好;2、中毒性脑病存在细胞内外脑水肿,故甘露醇、激素疗程长,过早停药毒物未清除干净病情容易反跳。
另外,还发现存活数周至数月后的急性中毒性脑病或慢性中毒性脑病患者病理表现为脑实质萎缩,神经细胞大量减少,胶质增生而出现精神症状和智能障碍、帕金森综合征症状。治疗上应给予维生素营养神经,抗帕金森及高压氧等治疗。

Copyright 2006-2026 广东三九脑科医院版权所有 粤ICP备11100995号 服务性质:非营利性网站 粤卫网审(2013)10号
粤公网安备 44011102002143号