http://www.999brain.com 时间:2017-01-10 来源:广东三九脑科医院 编辑:xzd 阅读:43311
神经鞘瘤,又称许旺细胞瘤,是由周围神经的神经鞘所形成的肿瘤。患者多为30~40岁的中年人,无性别差异。肿瘤为散在柔软肿块,通常无自觉症状,但有时伴有疼痛及压痛。如肿瘤累及神经组织时,则可发生感觉障碍,特别是在相应的部位发生疼痛与麻木。
患者:陆某,女性,34岁
主诉:间断头痛伴右侧面部不自主抽搐3年余
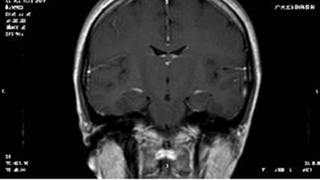
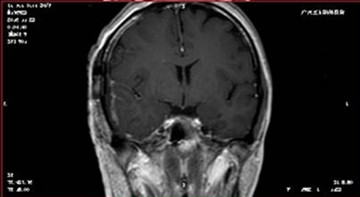
家属为进一步治疗,来到广东三九脑科医院。颅脑MRI检查提示:右侧颞底沟通颅内外占位性病变,考虑神经源性肿瘤可能。经手术治疗后,患者已康复出院。
患者影像学资料:

▲术前MRI

▲术后MRI
神经鞘瘤是一种良性肿瘤,手术治疗有效,不过术后护理不可轻视。患者在日常生活中,不仅要积极配合医生治疗,而且应该保持健康的心态,同时注重身体锻炼,这些都对患者的身体康复有积极地作用。
神经鞘瘤患者在饮食方面应具体注意什么?
1.注意饮水:神经鞘瘤患者要确保每天摄入不少于2000ml的水,这样可以有效地减轻每天所食用的药物对消化道粘膜的刺激,促进毒素排泄。同时,牛奶、豆浆和绿豆汤也都有助于排出肿瘤细胞释放的毒物。
2.注意常吃新鲜蔬菜和水果:神经鞘瘤患者术后可能出现恶心呕吐、食欲不振等症状,患者家属可让其喝一些鲜榨菜汁,吃些清爽的凉拌菜和水果;另外,平时可多吃油菜、菠菜、小白菜、番茄、洋葱、山楂、鲜枣、猕猴桃、芦笋、海带等。
3.注意热量和蛋白质供给应充足:可多吃一些富含蛋白质的食物,如鸡蛋、瘦猪肉、牛肉、鱼肉、禽肉、豆制品等。若患者不能接受油腻荤腥的食物,可多选择奶酪、鸡蛋饼、咸鸭蛋等。有条件的患者,平时多吃蜂蜜类营养物质。另外,要注意多补充米、面等谷类食品。
4.注意多食增强免疫力的食品:如菇类、银耳、黑木耳等,也可以多吃动物肝、鱼肝油、胡萝卜、莴笋叶等富含维生素A和胡萝卜素的食物。
除此以外,神经鞘瘤患者尽量不吃辛辣刺激的食物,避免霉变食物,避免抽烟喝酒。

Copyright 2006-2026 广东三九脑科医院版权所有 粤ICP备11100995号 服务性质:非营利性网站 粤卫网审(2013)10号
粤公网安备 44011102002143号