http://www.999brain.com 时间:2017-01-16 来源:神经外六科 编辑:YSS 阅读:35702
10多年前,钟先生因车祸导致头部外伤,颅内右侧颞部受伤,到当地医院就诊,医生予以保守治疗(具体不详),好转后出院回家。4年前,钟先生突然出现发作性意识不清,伴随四肢抽搐、双眼上翻、流口水等症状,持续约30秒后自行缓解,发作前没有其他先兆症状。到当地医院检查脑电图,提示:癫痫样异常放电,头部CT提示:右侧额叶脑软化灶,医生给予药物抗癫痫治疗。服药后,钟先生感觉头晕,便自行减药,改为每晚口服一次,其症状约半年至1年发作1次。
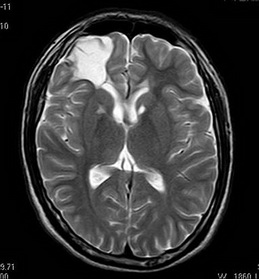
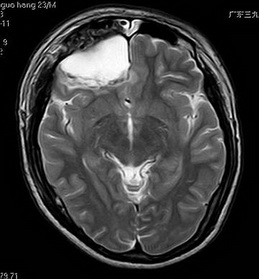
之后,钟先生来到广东三九脑科医院,头部MRI提示:右侧额叶软化灶形成并胶质增生;双侧基底节区小软化灶、胼胝体异常信号影,考虑陈旧轴索损伤可能;幕上弥漫性脑皮质萎缩。癫痫内科医生建议其手术治疗,但因经济条件等原因,钟先生继续服药治疗了几年。
最近1个月以来,钟先生的发作变得频繁,1个月发作2次。他来到神经外六科进一步检查,视频脑电图显示:重度异常脑电图;右侧颞区见少量中高波幅棘-慢波发放。脑磁图提示:右额区见稍多棘波发放。颅脑MR提示:右侧额叶软化灶形成并胶质增生;双侧基底节区小软化灶、胼胝体异常信号影,考虑陈旧轴索损伤可能;幕上弥漫性脑皮质萎缩。
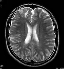
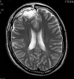
经吴杰主任及其团队详细术前评估后,钟先生接受了右侧额叶癫痫灶切除术,术后至今没有出现癫痫发作。术后病理示:脑软化灶。
神经外六科吴杰主任介绍:外伤性癫痫是指继发于颅脑损伤后的癫痫性发作,多见于年轻成年男性,具有癫痫家族史者更易发生,可发生在伤后的任何时间,甚难预料,早者于伤后即刻出现,晚者可在头伤痊愈后多年始突然发作。不过,并非所有的脑外伤病人都并发癫痫,按初次癫痫发作的时间可分为早期、中期、晚期癫痫。
对少数晚期难治性癫痫经系统的药物治疗无效时,则需行手术治疗,约有半数以上的病人可获得良好效果。术前根据脑电图、CT扫描、MRI等确定致痫灶部位,术中用皮质脑电图进一步精确定位,切除脑膜、脑癫痕及致痫灶,病灶在额极者可行额极切除术。异物、碎骨片、脑脓肿亦可采取开颅手术或立体定向术以清除或切除。


术前MR


术后MR

术前脑电图

术后5月脑电图

Copyright 2006-2026 广东三九脑科医院版权所有 粤ICP备11100995号 服务性质:非营利性网站 粤卫网审(2013)10号
粤公网安备 44011102002143号