http://www.999brain.com 时间:2017-02-06 来源:神经外一科 编辑:韦庆锋 阅读:40116
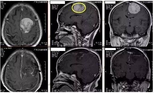
罗阿姨,66岁,反复头痛当地医院就诊能有所缓解,近半年突然出现右侧肢体乏力,为求进一步治疗,来我院就诊,CT提示左侧中央区镰窦旁类圆形稍高密度影。患者由神经外一科完成就诊治疗,完善术前检查及准备后行全麻下左侧额部中央区镰窦旁脑膜瘤切除术,手术由神经外一科主任张良医生主刀完成,术程顺利,术后患者肌力正常,恢复良好出院。


专家点评
脑膜瘤因肿瘤膨胀性生长,病人往往以头痛和癫痫为首发症状,根据肿瘤位置不同,还可以出现视力、视野、嗅觉或听觉障碍及肢体运动障碍等,本例患者术前存在颅内压增高引起的头痛障碍,以及压迫皮层中央区所致肢体运动障碍。

皮质中央区有支配躯体运动中枢的中央前回、感觉中枢中央后回,皮质中央区矢状窦大脑镰旁脑膜瘤因位于脑的重要功能区,解剖关系复杂,术后易出现感觉或运动方面的神经功能障碍,手术难点在于要求肿瘤达到全切的同时,既要妥善处理受累的上矢状窦和大脑镰,又要保护好中央区脑组织和中央沟静脉。术前完善的检查和评估,术中显微操作,保护好中央沟静脉以及瘤周静脉,保护好皮质中央区,术后适当延长脱水时间,是获得良好效果的因素。

本例患者术前完善CT、MR、CTA及MRV等检查,术中应用精确神经导航,结合电生理监测确定功能区,注意保护瘤周静脉,术后患者肢体乏力情况消失,未有明确并发症,术后恢复良好出院。
Copyright 2006-2026 广东三九脑科医院版权所有 粤ICP备11100995号 服务性质:非营利性网站 粤卫网审(2013)10号
粤公网安备 44011102002143号