http://www.999brain.com 时间:2017-02-22 来源:神经外二科 编辑:韦庆锋 阅读:34195
何女士,44岁,与丈夫发生争执,被责骂后忽感不适,随后出现头痛,有时呕吐,整日情绪低落,反应迟钝,遂渐出现精力明显下降,整天呆在家中不愿外出,回避社交,在当地多家医院检查就诊,效果不佳。为进一步治疗前来我院就诊,心理测试示:轻度抑郁症状,门诊以“抑郁障碍”收内科住院。
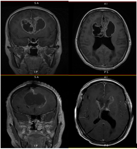
入院后颅脑MRI提示:双侧额叶跨胼胝体占位性病变,考虑胶质母细胞瘤可能性大,合并双侧侧脑室梗阻性脑积水。转神经外二科治疗,复查头颅CT提示脑积水较前略加重,考虑到患者颅高压症状较明显,肿瘤压迫及脑积水加重所致,不排除颅压进一步增高导致患者昏迷甚至呼吸停止可能,遂急诊行脑室外引流术,术后给予综合观察治疗,为手术切除完善术前准备。同期,行全麻下双侧额叶及胼胝体高级别胶质肿瘤切除术+ICP探头植入术,手术由神经外二科主任林涛主刀完成,切除肿瘤大小约:6.0*5.5*4.0cm,双侧大脑前动脉保护良好。术后查体:神清,对光反射灵敏,心肺腹未见异常,肌张力正常。考虑恶性较高胶质瘤,故后续仍需放化疗治疗。

专家点评
广东三九脑科医院神经外二科主任林涛介绍:抑郁障碍是脑肿瘤患者常见的神经精神并发症,抑郁障碍与一些癌症和高级别胶质瘤的侵袭进展相关,其临床表现多种多样。早期有时症状不典型,而当肿瘤的基本特征均已具备时,病情往往已属晚期。
有关肿瘤的定位诊断,必须注意与神经系统的定位症状相结合,加以分析,才能做出正确的判断。精神症状的出现,因肿瘤侵犯的部位不同而表现各异。各部位脑瘤的定位症状各具有其特点,可根据该部位神经解剖结构和生理功能来判断。而额叶肿瘤可表现三方面障碍,即随意运动,语言表达和精神活动。而胼胝体肿瘤所引起严重精神症状较其他部位多见。临床可出现情感障碍,智能缺陷和人格改变。上述病例,患者多次多地就医,其初始表现极为精神病症状,后通过综合诊断及分析,诊断为双侧额叶跨胼胝体占位性病变。因此,如发现患者出现精神异常,需要提高警惕,通过现代先进的影像学检查,能发现该类伴发精神异常的脑肿瘤患者,做到早诊、早治,减轻患者痛苦。
Copyright 2006-2026 广东三九脑科医院版权所有 粤ICP备11100995号 服务性质:非营利性网站 粤卫网审(2013)10号
粤公网安备 44011102002143号